- Nombres alternativos. Quiste triquilemal, quiste pilar, “isthmus-catagen cyst”. Headington 1976 Headington 1976
- Primera descripción. Pinkus acuñó que muchos “quistes sebáceos” eran en realidad quistes triquilemales (1969). Pinkus 1969. El tumor triquilemal proliferante (TTP) —neoplasia que puede surgir sobre un quiste— fue descrito por Wilson-Jones en 1966 (como “quiste epidérmico proliferante”). Satyaprakash 2007.
- Epidemiología. Lesión benigna frecuente, predomina en cuero cabelludo y en mujeres de mediana-avanzada edad; puede ser múltiple y familiar (autosómica dominante). Ramaswamy 2013, Al Aboud 2023, Headington 1976.
- Códigos. ICD-10: L72.11 (quiste pilar); L72.1x (familia de quistes tricolémicos). ICD-11: EK70.1 (quiste triquilemal)
- Checklist diagnóstico (rápido)
-
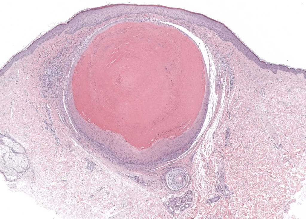
Clínica: nódulo/quiste firme, liso, sin punctum; cuero cabelludo; ± múltiples.
-
Eco cutánea (opcional): hipoecoico con refuerzo y focos hiperecogénicos; Doppler bajo.
-
Biopsia/escisión: muestra con pared íntegra.
-
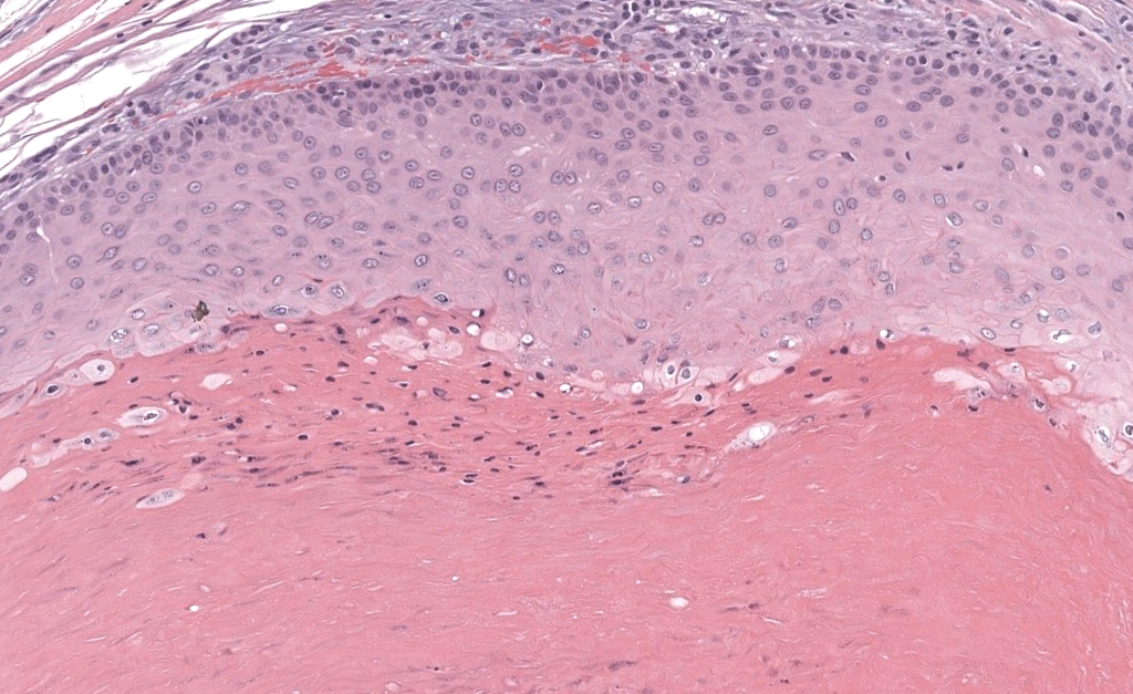
Histología: queratinización triquilemal, sin estrato granular, cápsula gruesa, ± calcificación.
-
IHQ (si duda con CE/TTM): CD34 (positivo en vaina externa), Ki-67/p53 (índices altos sugieren proliferación/malignidad).
-
Descartar TTP/TTM si: crecimiento rápido, >5 cm, ulceración, infiltración.
-

