Servicios

Laboratorio Dermopatológico
Skinpaths

We know skin / Entendemos la piel

Skinpaths

Nuestros servicios

En Skinpaths, combinamos excelencia diagnóstica, tecnología de vanguardia y una comprensión profunda de la clínica para ofrecer un portafolio integral de servicios en dermatopatología y diagnóstico especializado.

Cada estudio es abordado con rigor científico, comunicación directa con el médico tratante y un compromiso absoluto con la precisión.

  • Dermatopatología diagnóstica
  • Estudios de inmunohistoquímca e inmunofluorescencia directa
  • Servicio de tinciones especiales
  • Estudios moleculares
  • Estudios transoperatorios para cáncer de piel (cirugía micrográfica de Mohs)
Confianza y precisión

Nuestras soluciones especializadas

1 /3

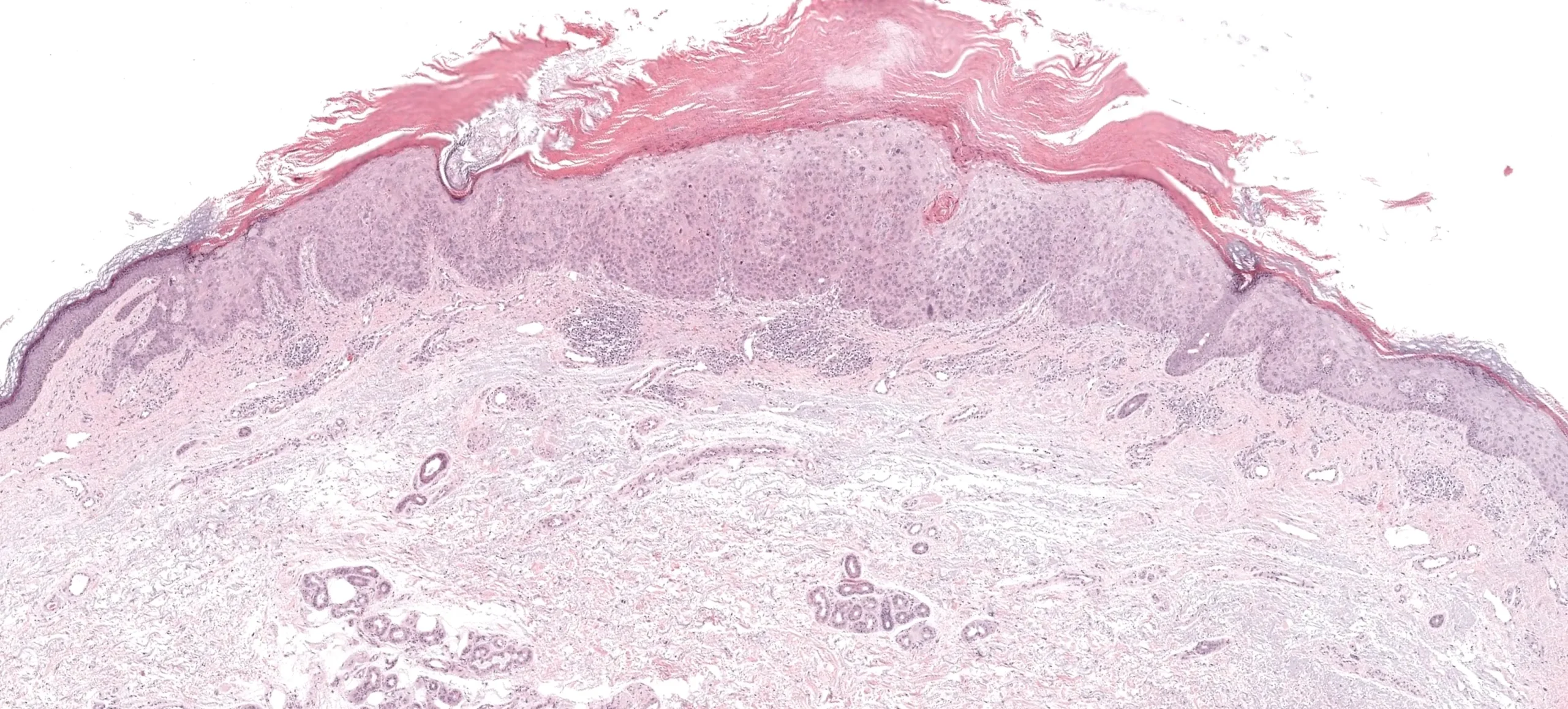
Dermatopatología diagnóstica

  • Análisis histológico experto de biopsias de piel.
  • Estudios de inmunohistoquímica e inmunofluorescencia.
  • Enfoque en la correlación clínico patológica para diagnósticos más precisos.
Contáctenos
2 /3

Cirugía micrográfica de Mohs

  • Diagnóstico transoperatorio de márgenes de resección en cáncer de piel.
  • Procesamiento rápido en el sitio para una comunicación fluida con el clínico y optimización de tiempos quirúrgicos.
  • Protocolos estandarizados para garantizar la máxima preservación de tejido sano con la máxima eficacia posible.
Contáctenos
3 /3

Recursos y soporte para clínicos

  • Servicio de recolección de muestras en la mayor parte del GAM (consultar por rutas y periodicidad de recolección). Guías actualizadas y herramientas digitales de referencia.
  • Comunicación directa para discusión de casos complejos.
  • Asesoría en indicación de biopsias y selección de técnica óptima.
Contáctenos
// Póngase en contacto

¿Tiene dudas o necesita más información?

Complete el formulario y nuestro equipo se pondrá en contacto con usted lo antes posible para responder sus consultas o brindarle la información que necesite.

    We know skin / Entendemos la piel
    © 2026 Skinpaths. Todos los derechos reservados.