Área para profesionales en formación
Buscar tema específico
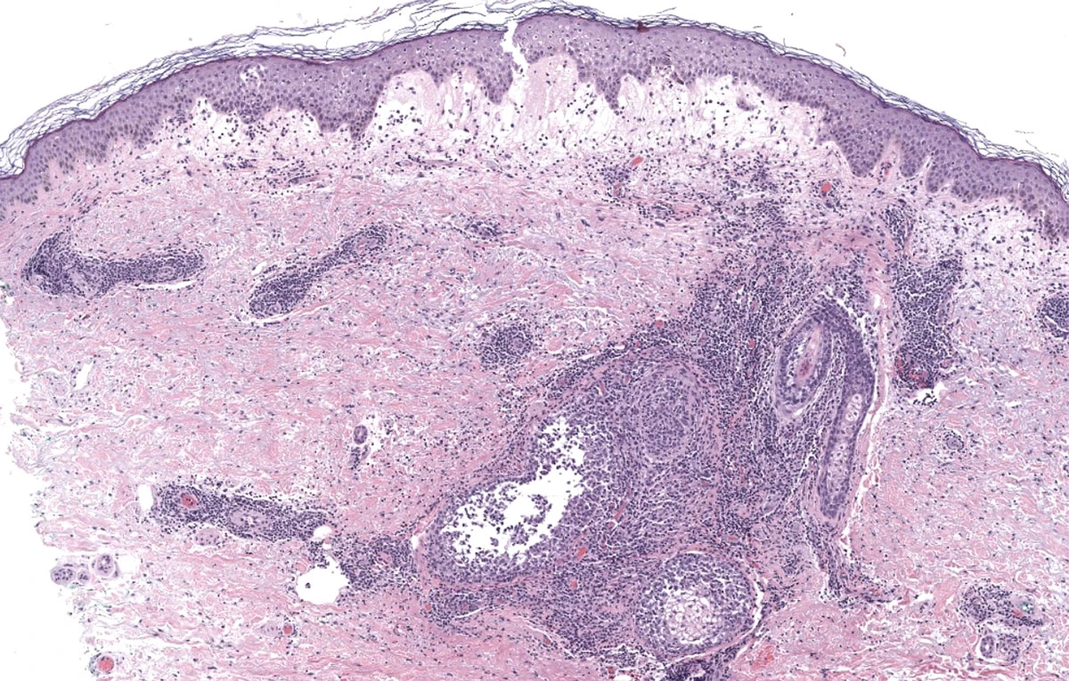
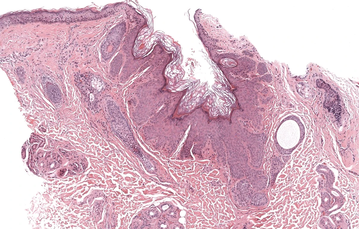
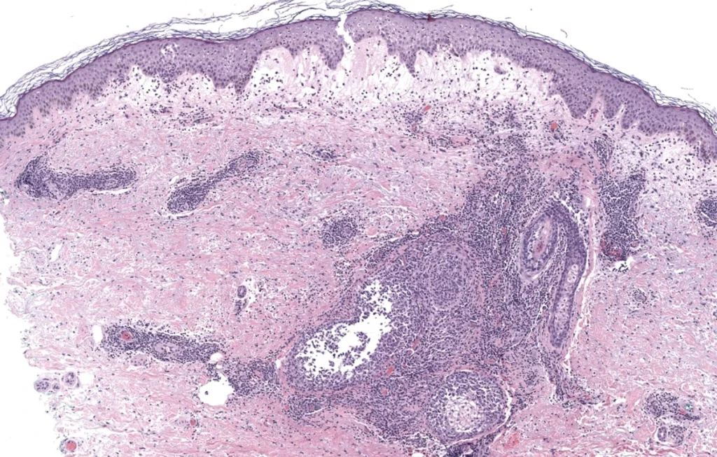
Patrones histológicos dermatopatología
- Módulo 1: Patrón eccematoso
- Módulo 2: Patrón psoriasiforme
- Módulo 3: Patrón de interfase
- Módulo 4: Dermatitis perivascular
- Módulo 5: Dermatitis ampollosas
- Módulo 6: Patrón vasculítico
- Módulo 7: Patrón nodular/difuso
- Módulo 8: Dermatitis granulomatosas
- Módulo 9: Dermatitis esclerosantes
- Módulo 10: Patrón paniculítico
123-456-7890
Glosario de términos dermatopatología
- Product Manager
123-456-7890
Tinciones especiales (dermatopatología)
- Módulo 1: Generalidades
- Módulo 2: PAS
- Módulo 3: PAB
- Módulo 4: Fite
- Módulo 5: Grocott
- Módulo 6: Fibra elástica
123-456-7890
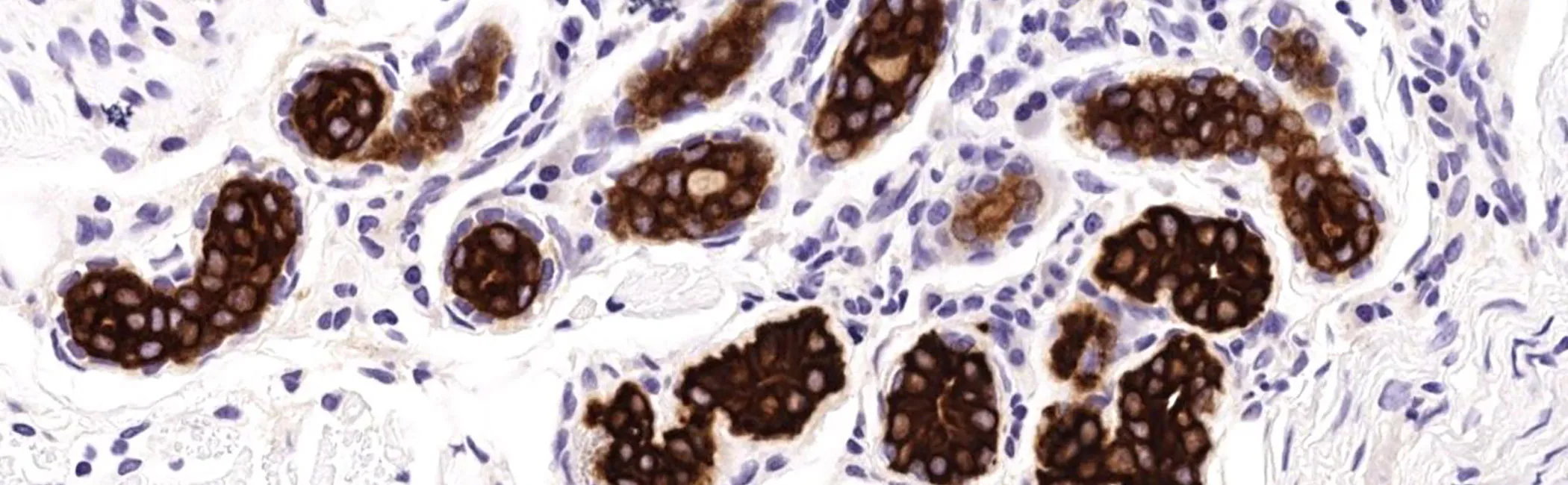
Inmunohistoquímica
- Módulo 1: Generalidades
- Módulo 2: Técnica
- Módulo 3: Usos en dermatopatología
- Módulo 4: Lista de anticuerpos de uso frecuente
123-456-7890
Inmunofluorescencia
- Módulo 1: Generalidades
- Módulo 2: Técnica
- Módulo 3: Usos en dermatopatología
- Módulo 4: Lista de anticuerpos de uso frecuente
123-456-7890
