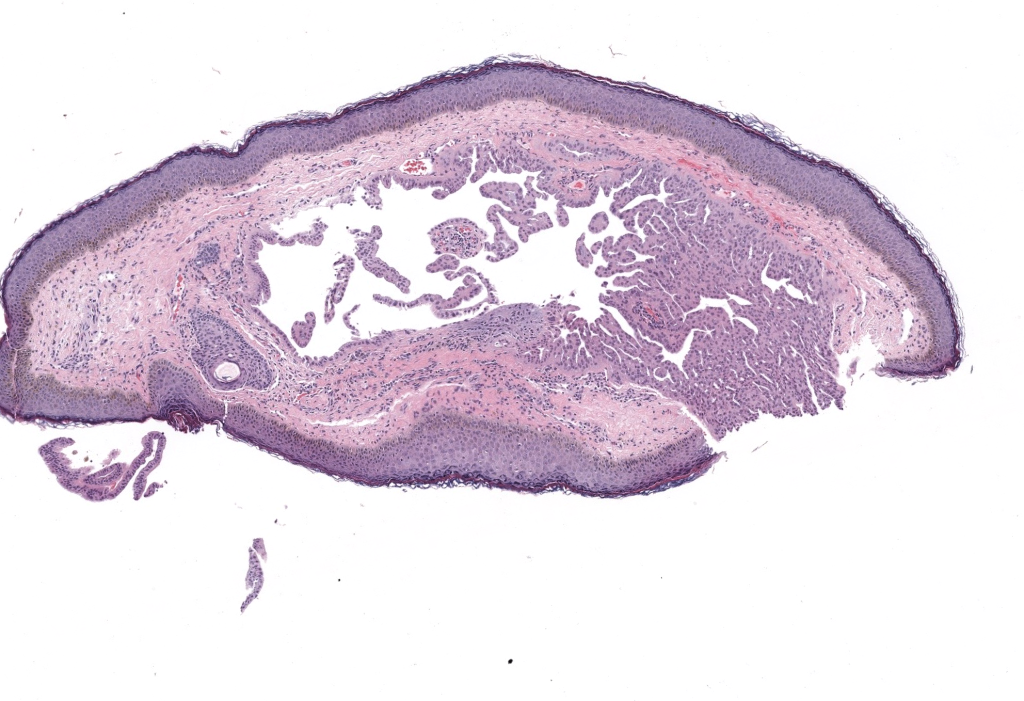
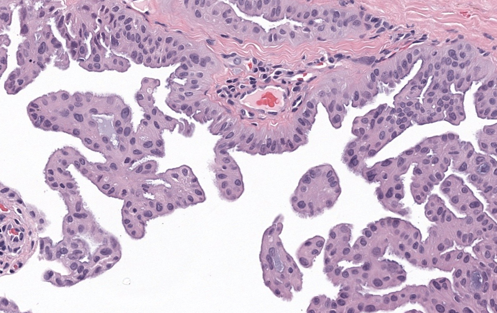
Nombres alternativos: quiste sudoríparo; quiste de glándulas de Moll (apocrino); “tipo Robinson” (múltiple eccrino).
Primera descripción: múltiples hidrocistomas eccrinos descritos por Robinson (1893); el apocrino (cystadenoma/hidrocistoma) delineado por Smith & Chernosky (1974).
Epidemiología: adultos de mediana edad y mayores; predominio femenino en formas múltiples eccrinas; localización facial periocular; rara afectación orbitária/conjuntival/carúncula. Exacerban con calor/humedad (estacionalidad).
Asociaciones sindrómicas (red flag): múltiples apocrinos perioculares pueden ser marcador de síndrome de Schöpf–Schulz–Passarge (SSPS) (ectodermatosis) y, más raramente, de formas relacionadas con Goltz-Gorlin.
Códigos:
-
ICD-10-CM: Cysts of eyelid H02.821–H02.824 según párpado/hemicara; alternativa oncológica por sitio cutáneo periocular D23.11–D23.12.
-
ICD-11: EK70.3 (Hidrocistoma).

