- Nombres: Quiste triquilemal proliferante; tumor piloso proliferante; proliferating trichilemmal (pilar) tumor (PTT). Satyaprakash 2007.
- Primera descripción: Jones describió en 1966 la entidad “quiste epidermoide proliferante”, hoy reconocida como QTP/“Wilson-Jones tumor”. Jones 1966, Kamal 2021.
- Epidemiología (típica): Lesión rara; predomina en mujeres mayores y cuero cabelludo; puede surgir sobre un quiste triquilemal preexistente; transformación maligna es infrecuente pero posible. Folpe 2003, Satyaprakash 2007, Osto 2021.
- Códigos (orientativos): ICD-10: L72.1/L72.11 (quiste triquilemal/pilar); para variantes neoplásicas usar códigos de neoplasias benignas/CIHN locales; ICD-11: EK70.1 (trichilemmal cyst).
- Checklist diagnóstico (rápido)
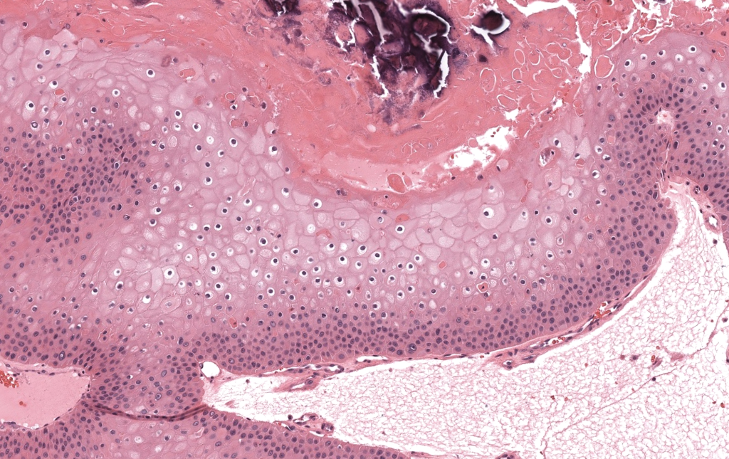
- Clínica compatible (nódulo del cuero cabelludo ± ulceración/crecimiento). Satyaprakash 2007.
- Biopsia que muestre queratinización triquilemal y patrón lobulado-quístico. Folpe 2003.
- IHQ dirigida si duda vs CCE: CD34, p53/Ki-67, ± calretinina. Chaichamnan 2010
- Imagen (TC/RM) en lesiones grandes/ sospecha de invasión/adenopatías. Kawaguchi 2021.
- Clasificar riesgo (benigno vs MPTT) e indicar escisión completa o Mohs. Tierney 2005,

