Antes de leer: En skinpaths distinguimos opinión de evidencia. Este contenido se basa en literatura médica indexada y recomendaciones de sociedades científicas. Al final encontrarás bibliografía completa para comprobarla y profundizar.
Objetivos de aprendizaje
-
Delimitar hipodermis (subcutis) y explicar su relación con dermis y tejidos profundos (fascia). Lopez-Ojeda 2022; Fede 2025
-
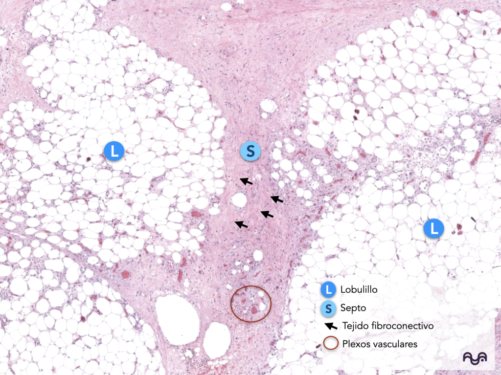
Identificar en H&E: adipocitos, lobulillos, septos fibrosos y paquetes vasculonerviosos. Kim 2023; Estève 2019
-
Reconocer la existencia de estructuras “profundas” típicas (p. ej., corpúsculo de Pacini) y ubicarlas anatómicamente. Iheanacho 2023
-
Comprender funciones de la hipodermis (amortiguación, aislamiento, reserva energética y rol endocrino del tejido adiposo). Kamrani 2023; Richard 2020
-
Evitar errores frecuentes de interpretación al microscopio (artefactos, orientación y “falsos espacios”). Arregui 2020
Hechos fundacionales (lo que sí o sí debes saber)
-
La hipodermis es la capa más profunda asociada a piel, rica en tejido adiposo y tejido conectivo laxo, con vasos y nervios de mayor calibre que en dermis. Kim 2023
-
En H&E, el adipocito suele verse como un gran espacio ópticamente vacío con un borde citoplasmático fino: la grasa se encuentra removida debido al procesamiento histológico rutinario. Arregui 2020
-
La arquitectura típica es lobulillar: lobulillos de grasa separados por septos fibrosos (colágeno) que “organizan” el tejido. Estève 2019
-
Los septos suelen contener vasos, nervios y, según región, trayectos de anexos profundos. Lopez-Ojeda 2022
-
La fascia superficial se describe como una estructura fibrosa dentro del compartimento subcutáneo; su nomenclatura y límites pueden variar entre textos. Fede 2025; Musil 2018
-
La transición dermis reticular → hipodermis suele ser evidente: el colágeno denso irregular da paso a “panal” adiposo lobulado.
-
Los corpúsculos de Pacini son receptores encapsulados grandes, típicamente en tejido subcutáneo (y zonas profundas), con patrón en “cebolla”. Iheanacho 2023
-
El tejido adiposo no es solo para “relleno”: secreta mediadores/hormonas (adipocinas) con funciones sistémicas. Cinti 2022; Stern 2016
-
La hipodermis varía mucho por región anatómica y por individuo (espesor, tamaño lobulillar, densidad septal). Fede 2025
-
En mamíferos es común el panniculus carnosus (músculo cutáneo); en humanos hay remanentes regionales (concepto útil como “curiosidad anatómica”). Naldaiz-Gastesi 2018; Musil 2018
-
Si una biopsia no alcanza hipodermis (por ser superficial o por haber sido tomada con técnica incorrecta), no podrás “ver” estas claves: interpretar su “ausencia real” requiere correlacionar con profundidad de la muestra.
Conceptos clave
Definición operativa
La Hipodermis (Tejido Celular Subcutáneo): Se trata del compartimento profundo bajo la dermis, compuesto por tejido adiposo y tejido conectivo, organizado en lobulillos separados por septos fibrosos. Kim 2023; Estève 2019
Componentes principales
-
Adipocitos (tejido adiposo «blanco»): célula especializada en almacenar lípidos; forma parte de un órgano dinámico con funciones endocrinas y paracrinas. Richard 2020; Cinti 2022
-
Estroma/“fracción estromal-vascular”: conjunto de células no adipocitarias (endotelio, pericitos, fibroblastos, etc.) y matriz extracelular que sostiene el tejido. Cook 2009
-
Septos fibrosos: tejido conectivo (colágeno, fibras elásticas variables) que compartimentaliza la grasa y sirve de “autopista” para vasos y nervios. Estève 2019; Fede 2025
Origen (simplificado)
-
Los adipocitos derivan de progenitores mesenquimales mediante adipogénesis; existen diferencias por depósitos (subcutáneo vs otros) en desarrollo y biología. Berry 2013; Cook 2009
Presentación microscópica (cómo verla y “leerla”)
1) A bajo aumento (2×–4×): “mapa de capas”
-
Identifica la dermis reticular: banda rosada densa (colágeno) relativamente homogénea.
-
Busca el cambio de textura: aparece un patrón lobulado claro (“en panal”): esa es la hipodermis.
-
Identifica septos: líneas/fajas eosinófilas que separan grupos de “lóbulos”.
Perla: si el corte es tangencial o la biopsia es superficial, podrías estar en un escenario donde sólo identificarías dermis profunda (sin hipodermis).
2) A aumento intermedio (10×): “lobulillo vs septo”
-
Lobulillo adiposo: agrupación de adipocitos con poco tejido conectivo entre ellos.
-
Septo: tejido conectivo más denso, con vasos (luz + pared recubierta de células endoteliales) y a veces nervios (fascículos ondulados con perineurio sutil). Lopez-Ojeda 2022
3) A alto aumento (20×–40×): “firma del adipocito”
-
Adipocito blanco típico: gran vacuola (lípido extraído por el procesamiento histológico) + citoplasma periférico fino; el núcleo puede ser difícil de ver en cortes subóptimos.
-
Lo que parece “espacio” es, en realidad, la huella del lípido perdido por solventes durante el procesamiento histológico. Arregui 2020
Estructuras que pueden aparecer cerca
-
Estructuras glandulares profundas (porción secretora de glándulas ecrinas) suelen estar en dermis profunda y pueden “rozar” el límite con hipodermis.
-
Folículos pilosos: en algunas regiones, estructuras profundas del folículo pueden extenderse hacia planos cercanos.
Pitfalls (errores comunes)
-
Confundir “vacíos” de procesamiento con estructuras quísticas o espacios patológicos: primero piensa en grasa extraída. Arregui 2020
-
No reconocer el septo: si solo miras a gran aumento, puedes perder la arquitectura lobulillar.
-
Sobreinterpretar “ausencia de hipodermis” cuando la biopsia es superficial.
Lecturas recomendadas
Esenciales
-
Anatomía general de piel (incluye subcutis/hipodermis) — Lopez-Ojeda 2022
-
Fisiología del integumento (funciones del subcutáneo) — Kim 2023
-
Conectivo y tejido adiposo como conectivo especializado — Kamrani 2023
-
Tejido adiposo: biología y función (capítulos NCBI) — Richard 2020
-
Receptores cutáneos profundos (Pacinian) — Iheanacho 2023
Para profundizar
-
Arquitectura lobulillar del tejido adiposo subcutáneo y septos — Estève 2019
-
Origen/desarrollo y heterogeneidad de depósitos adiposos — Berry 2013
-
La fascia superficial humana: componentes, función y discusión anatómica — Fede 2025
-
Sistema de fascia superficial y su relación con morfología del subcutáneo — Si 2022
-
El tejido adiposo como órgano endocrino (visión integradora) — Cinti 2022
-
Leptina y señalización desde tejido adiposo (ejemplo de adipocina) — Martínez-Sánchez 2020
-
Técnicas histológicas para demostrar grasa (OsO₄ vs Oil Red O, etc.) — Arregui 2020
-
Panniculus carnosus: revisión anatómica/evolutiva (contexto para “subcutáneo + músculo cutáneo”) — Naldaiz-Gastesi 2018
Bibliografía y fuentes
-
Lopez-Ojeda W, Hurley S. Anatomy, Skin (Integument). StatPearls Publishing; 2022. Lopez-Ojeda 2022
-
Kim JY, et al. Physiology, Integument. StatPearls Publishing; 2023. Kim 2023
-
Kamrani P, et al. Anatomy, Connective Tissue. StatPearls Publishing; 2023. Kamrani 2023
-
Richard AJ, et al. Adipose Tissue: Physiology to Metabolic Dysfunction. En: Endotext/NCBI Bookshelf; 2020. Richard 2020
-
Cook A, Cowan C. Adipose. StemBook/NCBI Bookshelf; 2009. Cook 2009
-
Berry DC, Stenesen D, Zeve D, Graff JM. The developmental origins of adipose tissue. Development. 2013. Berry 2013
-
Estève D, et al. Lobular architecture of human adipose tissue defines the niche and fate of progenitor cells. Nat Commun. 2019. Estève 2019
-
Fede C, et al. The Human Superficial Fascia: A Narrative Review. Int J Mol Sci. 2025. Fede 2025
-
Si L, et al. The Superficial Fascia System: Anatomical Guideline for Subcutaneous Fat Morphology. Aesthet Surg J Open Forum. 2022. Si 2022
-
Cinti F. The Endocrine Adipose Organ: A System Playing a Central Role in Metabolism and Inflammation. Front Endocrinol. 2022. Cinti 2022
-
Stern JH, Rutkowski JM, Scherer PE. Adiponectin, Leptin, and Fatty Acids in the Maintenance of Metabolic Homeostasis. Trends Endocrinol Metab. 2016. Stern 2016
-
Martínez-Sánchez N, et al. There and Back Again: Leptin Actions in White Adipose Tissue. Front Endocrinol.2020. Martínez-Sánchez 2020
-
Iheanacho F, et al. Physiology, Mechanoreceptors. StatPearls Publishing; 2023. Iheanacho 2023
-
Arregui M, et al. Comparison of Three Histological Techniques for Fat Demonstration: Osmium Tetroxide, Chromic Acid, and Oil Red O. Sci Rep. 2020. Arregui 2020
-
Du J, et al. An optimized method for Oil Red O staining with the removal of background interference. Cell Biol Int.2023. Du 2023
-
Melo RCN, et al. Imaging Lipid Bodies Within Leukocytes… (sección de tinción con osmio). Methods Mol Biol.2011. Melo 2011
-
Naldaiz-Gastesi N, et al. The panniculus carnosus muscle: an evolutionary enigma… Dev Biol. 2018. Naldaiz-Gastesi 2018
-
Musil V, et al. A plea for an extension of the anatomical nomenclature (fascia superficialis y relación con músculo cutáneo). J Anat. 2018. Musil 2018




