- Definición y sinónimos
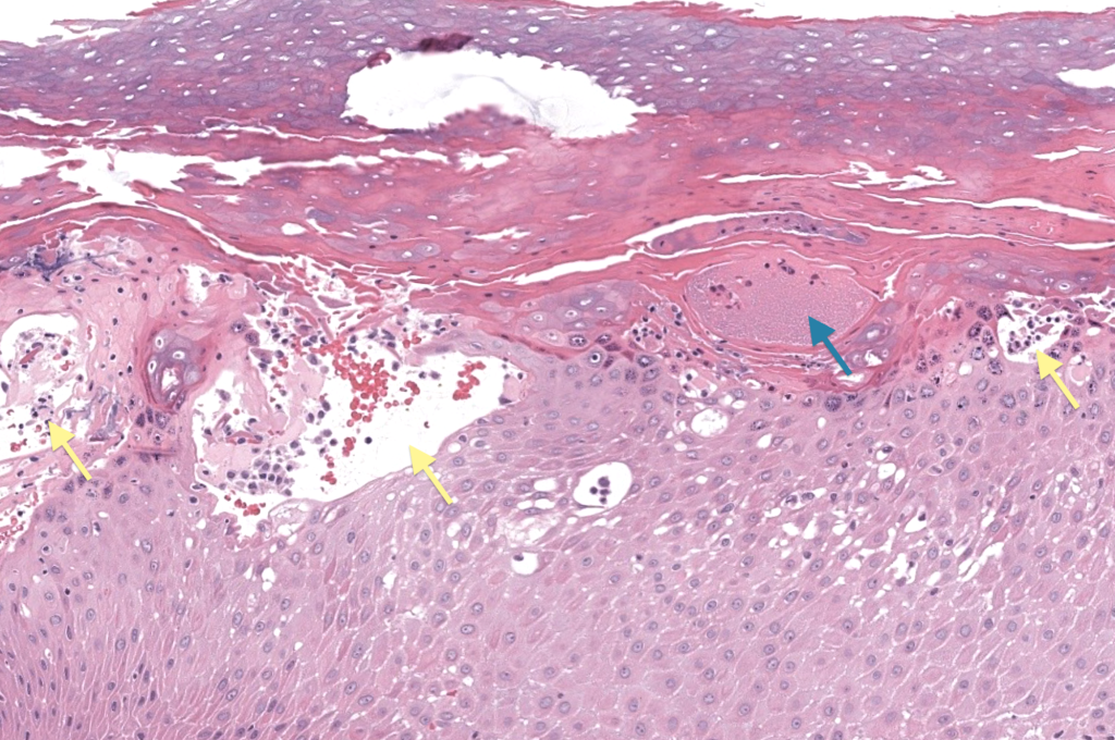
- Dermatosis eccematosa vesículo-ampollosa de palmas, áreas laterales de dedos y/o plantas, típicamente recurrente, con vesículas profundas (“granos de tapioca”), prurito y descamación posterior. Wollina 2010, Scotelaro-Alves 2019
- Sinónimos/uso en literatura: pompholyx, disidrosis (término histórico), recurrent vesicular palmoplantar dermatitis (RVPD). Scotelaro-Alves 2019
- Primera descripción
- El concepto de “disidrosis” se vinculó históricamente a disfunción/obstrucción del sudor; Fox propuso esa relación y acuñó el término, aunque posteriormente se demostró ausencia de relación causal con glándulas sudoríparas (por eso el nombre es un «misnomer»). Scotelaro-Alves 2019
- Epidemiología (puntos prácticos)
- Puede presentarse a cualquier edad; con frecuencia se observa en adultos jóvenes (datos globales heterogéneos). Coenraads 2012, Wollina 2010
- En una cohorte pediátrica/adolescentes con RVPD: manos afectadas ~94%, pies ~72%, hiperhidrosis ~67%, factores atópicos ~78% (no extrapolable 1:1 a adultos, pero útil como “señal clínica”). Scotelaro-Alves 2019
- Asociación relevante: tiña pedis como factor de riesgo para erupciones vesiculares en manos (RR ~3.6 en un estudio poblacional). Bryld 2003
- Códigos
- ICD-10: L30.1 (dyshidrosis). (Dato administrativo estándar; no siempre citado en artículos clínicos.)
- ICD-11: existe una taxonomía dermatológica específica en ICD-11; el código exacto para “dyshidrotic eczema/pompholyx” puede variar según implementación/localización y no suele consignarse en artículos clínicos. Referencia general sobre ICD-11 dermatología: White 2022
- Checklist diagnóstico (rápido)
- Clínica: patrón vesicular profundo en palmas/laterales de dedos/plantas; simetría; prurito; recurrencia; evolución a descamación/fisuras. Wollina 2010
- Exposiciones: wet work, irritantes, ocupación, guantes/cauchos, metales, fragancias. Coenraads 2012
- Descartar tiña: examen de pies/uñas + KOH/cultivo si sospecha. Bryld 2003
- Si crónico/refractario: patch test. Thyssen 2022
- Si atípico: biopsia H&E ± DIF para diferenciales ampollosos/psoriasis. Wollina 2010

