- Definición / sinónimos
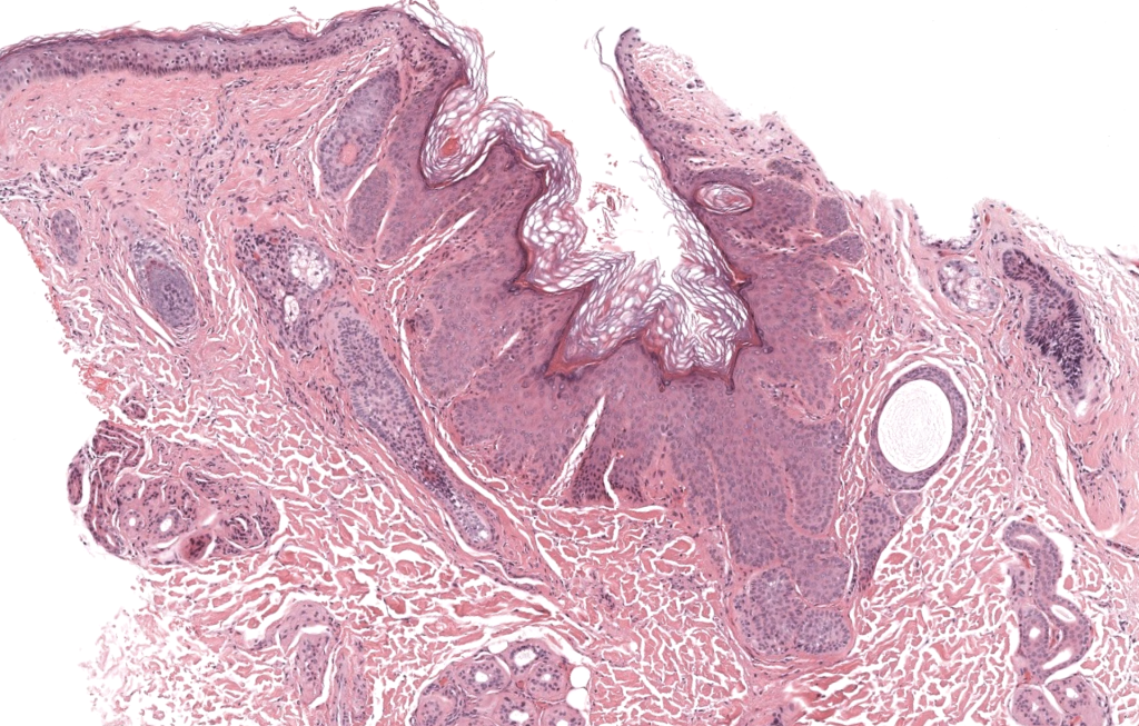
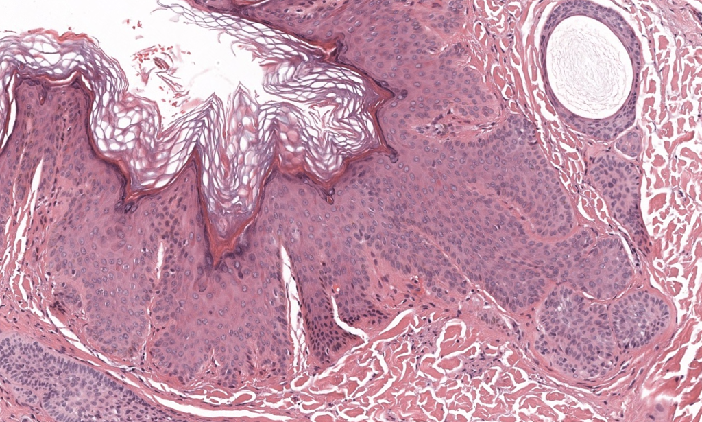
- El poro dilatado de Winer (PDW) es una neoplasia benigna de diferenciación folicular caracterizada por un infundíbulo folicular marcadamente dilatado (clínicamente tipo “comedón gigante” con tapón de queratina). Benedetto 2022, Steffen 2001
- Sinónimos usados en la literatura: “Winer’s dilated pore” y, en algunos textos dermatopatológicos, “infundibuloma” (propuesta conceptual de que es un tumor verdadero del infundíbulo). Steffen 2001
- Primera descripción
- Descrito por primera vez por Louis H. Winer en 1954 (“The dilated pore, a tricho-epithelioma”). Winer 1954
- Epidemiología
- Predomina en adultos de mediana edad y mayores, generalmente como lesión solitaria en cabeza/cuello o tronco. Benedetto 2022, Steffen 2001
- Presentaciones inusuales incluyen localizaciones no típicas (p. ej., conducto auditivo externo, muslo) y múltiples lesiones en región vulvar. Ayoub 2001, Shi 2017
- Códigos ICD-10 / ICD-11
- No existe un código ICD universalmente específico para PDW en muchos entornos; suele codificarse según el diagnóstico operativo (p. ej., “quiste epidérmico/folicular” o “neoplasia benigna de piel”) y políticas locales de facturación/estadística.
- ICD-10 (sugerencias frecuentes): L72.0 (quiste epidérmico) o L72.8 (otros quistes foliculares) / D23.9 (neoplasia benigna de piel, no especificada).
- ICD-11 (aproximación): suele mapearse a entidades de trastornos foliculares/quistes cutáneos o neoplasias benignas cutáneas según catálogo local.
- Checklist diagnóstico (rápido)
- Clínica: lesión solitaria tipo poro grande + tapón queratósico; documentar tiempo de evolución y cambios recientes. Benedetto 2022
- Exploración dirigida: buscar señales atípicas com telangiectasias, borde perlado, ulceración o pigmentación atípica. Benedetto 2002, Cabrera 2022
- Dermatoscopia: apoyo diagnóstico y para descartar patrones sospechosos. Moreira 2010
- Biopsia adecuada: escisión o punch escisional centrado en el poro e incluyendo porción profunda (evitar afeitado superficial si hay duda). Alsaad 2007
- Patología: confirmar arquitectura infundibular con radiaciones; si hay atipia, ampliar estudio para descartar carcinoma basocelular/epidermoide o colisión. Alsaad 2007

