Antes de leer: En skinpaths distinguimos opinión de evidencia. Este contenido se basa en literatura médica indexada y recomendaciones de sociedades científicas. Al final encontrarás bibliografía completa para comprobarla y profundizar.
Objetivos de aprendizaje
-
Definir unión dermoepidérmica (UDE) y zona de membrana basal (MB ó BMZ) en piel normal.
-
Reconocer la UDE en H&E y saber cuándo añadir PAS.
-
Explicar la ultraestructura (hemidesmosoma–lámina lúcida–lámina densa–sublámina densa) y su “traducción” histológica.
-
Ubicar proteínas clave (integrinas, lamininas, colágeno IV, colágeno VII, plectina/BP230) en un mapa mental funcional.
-
Describir variaciones normales (sitio anatómico/edad) de la interfaz dermis–epidermis.
Hechos fundacionales (lo que sí o sí debes saber)
-
La UDE es una zona de interfaz adhesiva y de señalización que une la epidermis con la dermis y organiza nichos celulares. Breitkreutz 2013
-
“MB” o «BMZ» es un término molecular/ultraestructural; en H&E muchas veces es sutil o no visible como “línea”. Breitkreutz 2013
-
La membrana basal está compuesta por redes de lamininas y colágeno IV, conectadas por proteoglucanos (p. ej., perlecano) y otras moléculas. Behrens 2012 Lennon 2025
-
Colágeno IV predomina en la lámina densa (andamiaje basal). Abreu-Velez 2012
-
Laminina-332 es un componente mayor de la UDE y constituye un “puente” funcional entre queratinocito basal y matriz. Kiritsi 2012
-
El hemidesmosoma es un “remache” basal: integrina α6β4, colágeno XVII (BP180), plectina y BP230 conectan membrana y queratinas. Walko 2014
-
El citoesqueleto basal típico está dominado por queratinas 5/14, ancladas a hemidesmosomas vía plectina. Bouameur 2014
-
Colágeno VII forma fibrillas de anclaje en sublámina densa, conectando la membrana basal con la dermis papilar. Chung 2010
-
Rete ridges (clavas epidérmicas) y papilas dérmicas aumentan superficie de contacto entre ambas y brindan resistencia mecánica (interlock). Aleemardani 2021
-
En la tinción de PAS, la membrana basal suele resaltar por sus componentes ricos en carbohidratos (glucoproteínas/proteoglucanos). Útil cuando H&E no “dibuja” la interfaz. Breitkreutz 2013
-
La “lámina lúcida/densa” (no confundir con el estrato lúcido de la epidermis en piel glabra) es un concepto de microscopía electrónica; (en microscopía convencional) se infiere por tinciones especiales y por la organización tisular. Breitkreutz 2013
-
Variación normal: en piel gruesa (palmas/plantas) la interfaz suele ser más ondulada (crestas más marcadas). Aleemardani 2021
-
Con la edad y el sitio anatómico, puede cambiar la arquitectura de la unión (p. ej., aplanamiento relativo), con su consecuente impacto biomecánico. Aleemardani 2021
Conceptos clave
1) Definiciones útiles
-
Unión dermoepidérmica (UDE ó DEJ): el “territorio” donde epidermis y dermis se interdigitan (crestas y papilas) y se acoplan mecánica y biológicamente. Aleemardani 2021
-
Zona de membrana basal (MB ó BMZ): el conjunto de proteínas y redes que forman la membrana basal y sus complejos de anclaje (incluye hemidesmosomas y estructuras subyacentes). Breitkreutz 2013 Lennon 2025
2) Funciones en piel normal
-
Adhesión y resistencia al estrés mecánico (evitar que epidermis “deslice” sobre dermis). Walko 2014
-
Barrera y compartimentalización (organiza microambientes entre epitelio y estroma). Breitkreutz 2013
-
Señalización (“outside-in”) vía integrinas/lamininas que influye en supervivencia, migración y diferenciación. Kiritsi 2012
Presentación histológica de la UDE
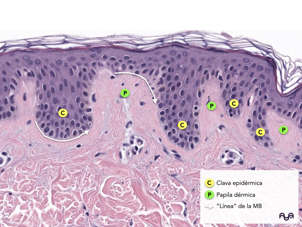
A) Microscopía de luz (H&E): qué buscar
-
Capa basal epidérmica: hilera de queratinocitos basales sobre el límite con dermis; núcleos más basófilos, a veces con disposición “en empalizada” sutil según el corte.
-
Crestas/clavas epidérmicas (rete ridges): prolongaciones de epidermis hacia dermis.
-
Papilas dérmicas: proyecciones de dermis papilar hacia epidermis (aumentan superficie). Aleemardani 2021
-
“Línea” de membrana basal: en H&E puede ser tenue; no asumir que “no está” si no la ves claramente (limitación de técnica). Breitkreutz 2013
Perla práctica: si tu objetivo es estudiar la interfaz, selecciona campos donde haya papilas y crestas bien orientadas (corte perpendicular). Un corte tangencial puede “aplanar” artificialmente la arquitectura.
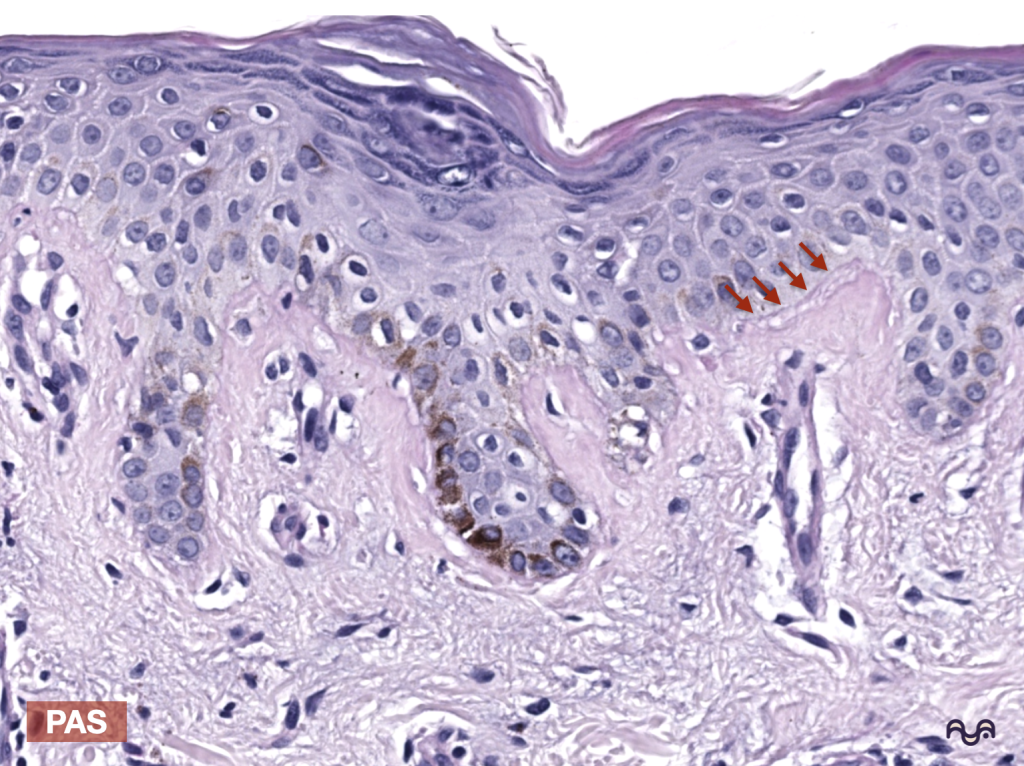
B) Tinción de PAS: cuándo y por qué ayuda
-
Cuándo: sospecha de interfaz sutil en H&E, necesidad docente de resaltar contorno, o evaluación comparativa entre zonas.
-
Por qué: la membrana basal contiene glucoproteínas/proteoglucanos que suelen teñirse con PAS, delineando una banda/contorno más evidente. Breitkreutz 2013
La UDE a nivel Ultraestructural
En microscopía electrónica se describe un “stack” clásico:
Queratinocito basal (citoesqueleto de queratinas 5/14)
→ Placa hemidesmosomal (plectina, BP230)
→ Membrana plasmática basal (integrina α6β4, colágeno XVII/BP180)
→ Lámina lúcida (zona de interfase rica en componentes de adhesión; concepto EM)
→ Lámina densa (red dominante de colágeno IV + lamininas organizadas)
→ Sublámina densa (fibrillas de anclaje de colágeno VII hacia dermis papilar)
Qué memorizar (lo imprescindible):
-
Hemidesmosoma = anclaje basal a queratinas. Walko 2014
-
Lámina densa = colágeno IV como armazón mayor. Abreu-Velez 2012
-
Sublámina densa = colágeno VII (fibrillas de anclaje). Chung 2010
-
Lamininas (p. ej., laminina-332) conectan redes y receptores celulares (integrinas). Kiritsi 2012 Hohenester 2013
Evaluación al microscopio
Paso a paso para estudiar la UDE en una lámina normal
-
Orientación del corte: busca zonas perpendiculares a la superficie para ver crestas/papilas.
-
H&E primero: identifica capa basal y dermis papilar; evalúa ondulación (rete ridges).
-
Si necesitas delinear MB: añade PAS (o revisa si el laboratorio tiene PAS disponible en set docente).
-
Si tu objetivo es “mapear moléculas” (docencia/investigación): inmunotinciones seleccionadas ( ver más adelante).
Pitfalls (cuando el estudiante se “pierde”)
-
Confundir la UDE (arquitectura) con la BMZ (molecular): no siempre coinciden como una sola “línea visible”. Breitkreutz 2013
-
Sobreinterpretar un corte tangencial como “unión plana” (artefacto de orientación).
-
Olvidar que piel varía por sitio anatómico (p. ej., piel gruesa vs delgada). Aleemardani 2021
Estudios complementarios / marcadores (para histología normal)
Tinciones y qué resaltan
-
H&E: arquitectura general (capas epidérmicas, dermis papilar/reticular, interdigitación).
-
PAS: ayuda a delinear membrana basal por su composición rica en carbohidratos asociados. Breitkreutz 2013
Inmunomarcadores (para fines docentes)
-
Colágeno IV: traza la red de lámina densa (membrana basal). Abreu-Velez 2012
-
Laminina-332: componente mayor del DEJ y puente adhesivo. Kiritsi 2012
-
Colágeno VII: marca el sistema de anclaje sublámina densa (fibrillas). Chung 2010
-
Integrina β4 / plectina: ubican hemidesmosomas/placa de anclaje en basal. Walko 2014 Schaapveld 1998
Microscopía electrónica
-
Útil para visualizar directamente lámina lúcida/densa y placas hemidesmosomales; su uso es principalmente académico/investigacional. Walko 2014
Lecturas recomendadas
Esenciales
-
Membrana basal epidérmica: composición y funciones. — Breitkreutz 2013
-
Arquitectura y función del hemidesmosoma. — Walko 2014
-
Organización supramolecular: redes laminina vs colágeno IV y papel de perlecano.— Behrens 2012
-
Colágeno IV en piel normal (enfoque útil para BM).— Abreu-Velez 2012
-
Colágeno VII y fibrillas de anclaje.— Chung 2010
Para profundizar
-
Visión moderna de membranas basales: composición, ensamblaje y función.— Lennon 2025
-
Ensamblaje de lamininas en membranas basales (conceptual y potente).— Hohenester 2013
-
Laminina-332 como componente esencial del DEJ (aporta el “puente” molecular).— Kiritsi 2012
-
Integrina β4 y ensamblaje/localización de componentes hemidesmosomales (experimental, instructivo).— Schaapveld 1998
-
Desmosomas e IF (útil para contraste con hemidesmosoma).— Hatzfeld 2017
-
Plectina y anclaje de K5/K14 a hemidesmosomas (puente citoesqueleto–UDE).— Bouameur 2014
-
DEJ y rol de crestas/papilas (interfase como unidad funcional).— Aleemardani 2021
Bibliografía y fuentes
-
Breitkreutz D, Koxholt I, Thiemann K, Nischt R. Skin basement membrane: the foundation of epidermal integrity—BM functions and diverse roles of bridging molecules nidogen and perlecan. Biomed Res Int.2013;2013:179784. doi:10.1155/2013/179784. PubMed
-
Behrens DT, Villone D, Koch M, Brunner G, Sorokin L, Robenek H, et al. The epidermal basement membrane is a composite of separate laminin- or collagen IV-containing networks connected by aggregated perlecan, but not by nidogens. J Biol Chem. 2012 May 25;287(22):18700-18709. doi:10.1074/jbc.M111.336073. PubMed
-
Walko G, Castañón MJ, Wiche G. Molecular architecture and function of the hemidesmosome. Cell Tissue Res.2015 Jun;360(3):529-544. doi:10.1007/s00441-015-2216-6. PubMed
-
Lennon R, Sherwood DR. Basement membranes at a glance. J Cell Sci. 2025 Sep 1;138(17):jcs263947. doi:10.1242/jcs.263947. PubMed
-
Hohenester E, Yurchenco PD. Laminins in basement membrane assembly. Cell Adh Migr. 2013 Jan-Feb;7(1):56-63. doi:10.4161/cam.21831. PubMed
-
Abreu-Velez AM, Howard MS. Collagen IV in Normal Skin and in Pathological Processes. N Am J Med Sci.2012 Jan;4(1):1-8. doi:10.4103/1947-2714.92892. PubMed
-
Chung HJ, Uitto J. Type VII collagen: the anchoring fibril protein at fault in dystrophic epidermolysis bullosa.Dermatol Clin. 2010 Jan;28(1):93-105. doi:10.1016/j.det.2009.10.011. PubMed
-
Kiritsi D, Has C, Bruckner-Tuderman L. Laminin 332 in junctional epidermolysis bullosa. Cell Adh Migr. 2013 Jan-Feb;7(1):135-141. doi:10.4161/cam.22418. PubMed
-
Schaapveld RQ, Borradori L, Geerts D, van Leusden MR, Kuikman I, Nievers MG, et al. Hemidesmosome formation is initiated by the beta4 integrin subunit, requires complex formation of beta4 and HD1/plectin, and involves a direct interaction between beta4 and the bullous pemphigoid antigen 180. J Cell Biol. 1998 Jul 13;142(1):271-284. PubMed
-
Bouameur JE, Favre B, Fontao L, Lingasamy P, Begré N, Borradori L. Interaction of plectin with keratins 5 and 14: dependence on several plectin domains and keratin quaternary structure. J Invest Dermatol. 2014 Nov;134(11):2776-2783. doi:10.1038/jid.2014.255. PubMed
-
Aleemardani M, Trikić MZ, Green NH, Claeyssens F. The Importance of Mimicking Dermal-Epidermal Junction for Skin Tissue Engineering: A Review. Bioengineering (Basel). 2021 Oct 20;8(11):148. doi:10.3390/bioengineering8110148. PubMed
-
Hatzfeld M, Keil R, Magin TM. Desmosomes and Intermediate Filaments: Their Consequences for Tissue Mechanics. Cold Spring Harb Perspect Biol. 2017 Jun 1;9(6):a029157. doi:10.1101/cshperspect.a029157. PubMed

