Antes de leer: En skinpaths distinguimos opinión de evidencia. Este contenido se basa en literatura médica indexada y recomendaciones de sociedades científicas. Al final encontrarás bibliografía completa para comprobarla y profundizar.
Objetivos de aprendizaje
-
Identificar con seguridad los estratos de la epidermis normal en histología (tinción estándar de hematoxilina y eosina).
-
Entender la cornificación como un proceso de barrera de protección (de queratinocito basal a corneocito).
-
Reconocer las células residentes clave (queratinocitos, melanocitos, células de Langerhans, células de Merkel): su ubicación y función.
-
Distinguir variaciones normales por sitio anatómico (piel gruesa vs delgada).
-
Evitar errores frecuentes de lectura (pitfalls) por orientación del corte y artefactos.
Hechos fundacionales (lo que sí o sí debes saber)
-
La epidermis normal es un epitelio escamoso estratificado queratinizado y es avascular; su nutrición depende de difusión desde dermis. Yousef 2024
-
Estratos (profundo → superficial): basal, espinoso, granuloso y córneo. El estrato lúcido se observa sobre todo en piel gruesa (palmas/plantas). Yousef 2024
-
El estrato granuloso se reconoce por la presencia de gránulos basófilos (queratohialina). Yousef 2024
-
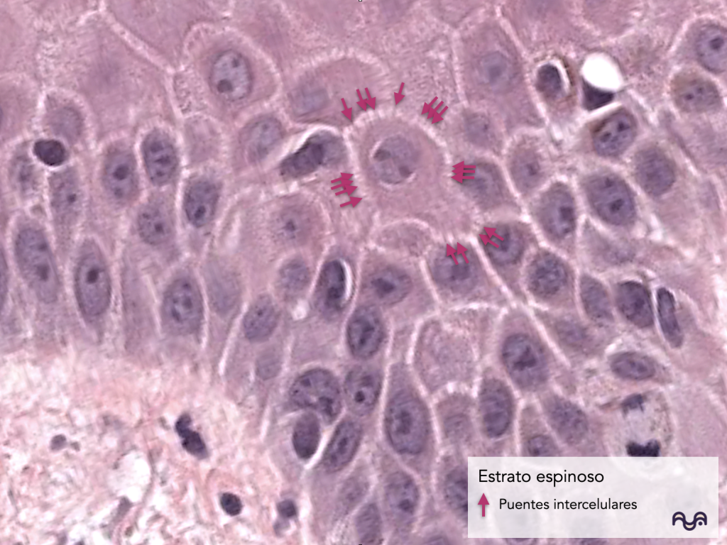
El aspecto “espinoso” del estrato espinoso se debe a puentes intercelulares (desmosomas) que pueden resaltarse por retracción en el procesamiento: en piel normal es esperado. Yousef 2024
-
El estrato córneo funciona como barrera en “ladrillos y mortero”: corneocitos + lípidos extracelulares organizados. Del Rosso 2016
-
El gradiente de calcio epidérmico participa en la diferenciación del queratinocito y en la formación de esta barrera. Bikle 2012
-
La Filagrina contribuye a la agregación de filamentos de queratina y a componentes de hidratación (NMF) derivados de su procesamiento: concepto clave para entender “barrera normal”. Sandilands 2006
-
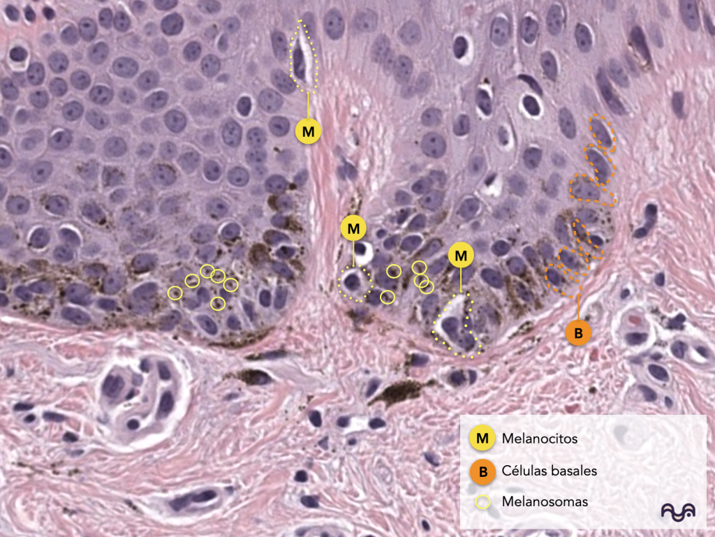
Los melanocitos derivan de la cresta neural, residen esencialmente en la capa basal y transfieren melanosomas («paquetes de melanina») a los queratinocitos. Mort 2015
-
Las células de Langerhans son centinelas inmunes epidérmicos; en H&E no se identifican de forma fácil en piel normal sin técnicas adicionales. Romani 2010
-
Las células de Merkel participan en mecanotransducción en complejos con neuronas; son escasas y no suelen destacarse en tinciones de rutina (H&E). Woo 2015
-
La piel gruesa tiene la epidermis más gruesa y un estrato córneo prominente; la piel delgada suele tener epidermis más fina y se asocia a presencia de anexos a nivel dérmico. Yousef 2024
-
Un gran porcentaje de “dudas” en epidermis normal se resuelven con 3 preguntas: ¿dónde está el granuloso?, ¿el corte es perpendicular?, ¿es piel gruesa o delgada?
Conceptos clave
Epidermis normal en una frase
Un tejido de recambio continuo que convierte queratinocitos basales proliferativos en corneocitos anucleados especializados en barrera.
Cornificación (queratinización terminal): qué significa “normal”
En términos prácticos, “normal” implica:
-
pérdida nuclear progresiva del queratinocito conformel llega a la superficie.
-
aumento de proteínas estructurales y formación de envoltura.
-
organización lipídica extracelular que sella la barrera.
Del Rosso 2016; Bikle 2012
Presentación al microscopio
Método “de arriba abajo”
-
Ubica el estrato córneo: la parte más superficial.
-
Encuentra el estrato granuloso (ubica los gránulos basófilos): una vez lo ves, el resto se ordena. Yousef 2024
-
Debajo está el espinoso: queratinocitos poligonales; puentes intercelulares aparentes.
-
La basal es la hilera más profunda, adosada al estroma dérmico (la “línea” de implantación).
-
Decide sitio anatómico: si epidermis es muy gruesa y el córneo domina, piensa en piel palmoplantar (posible lúcido). Yousef 2024
Perla visual: “basket-weave”
En piel normal (sobre todo piel delgada), el estrato córneo puede verse con un patrón laxo “en canasta” por la disposición de láminas de queratina y el procesamiento. No es un diagnóstico: es una descripción morfológica útil para reconocer normalidad en muchos sitios.
Evaluación al microscopio
Enfoque paso a paso (90 segundos)
Paso 1 — Baja magnificación (2×–4×): mapa
-
¿La epidermis es delgada o gruesa?
-
¿Hay anexos que “dominen” el campo y te hagan perder la epidermis?
-
¿El corte parece perpendicular (ideal) o tangencial (podría confundir evaluación)?
Paso 2 — Media magnificación (10×): estratos
-
Identifica los estratos: córneo → granuloso → espinoso → basal.
-
Si no encuentras granuloso, no asumas que hay patología: puede depender del sitio y del corte.
Paso 3 — Alta magnificación (20×–40×): evaluación celular
-
Basal: células más pequeñas, núcleos más basófilos y citoplasma escaso. Alineadas en «hilera».
-
Espinoso: poligonales, citoplasma más amplio; “puentes” pueden destacarse.
-
Granuloso: gránulos basófilos.
-
Córneo: láminas eosinofílicas anucleadas.
Estratos (qué son, qué hacen, cómo reconocerlos)
1) Estrato basal (germinativo)
-
Qué es: capa más profunda de queratinocitos, adyacente a la membrana basal.
-
Función: proliferación y mantenimiento del epitelio; anclaje a la zona basal (hemidesmosomas como concepto estructural). Yousef 2024
-
Cómo reconocerlo: una hilera de células más basófilas, “ordenada” en el borde dermoepidérmico.
2) Estrato espinoso
-
Qué es: capas suprabasales de queratinocitos en maduración.
-
Función: integridad mecánica y cohesión celular.
-
Cómo reconocerlo: queratinocitos poligonales; puentes intercelulares pueden verse (a veces por retracción del procesamiento).
3) Estrato granuloso
-
Qué es: 1–3 capas de células «horizonalizadas» (variable) con gránulos de queratohialina.
-
Función: transición crítica hacia la parte de barrera; procesamiento de proteínas (incluida filagrina) y preparación para cornificación. Sandilands 2006
-
Cómo reconocerlo: “cinturón” basófilo granular.
4) Estrato lúcido (cuando existe)
-
Qué es: banda pálida entre granuloso y córneo, típica de piel gruesa.
-
Función: relacionada con transición cornificada en piel glabra (concepto clásico).
-
Cómo reconocerlo: zona homogénea, más clara, si el corte y el sitio lo permiten. Yousef 2024
5) Estrato córneo
-
Qué es: corneocitos anucleados en láminas.
-
Función: barrera física-química e hidratación, dependiente de lípidos y proteínas estructurales. Del Rosso 2016
-
Cómo reconocerlo: banda eosinofílica superficial «ondulada» o en «entretejido de canasta» (excepto en zonas anatómicas específicas) , habitualmente sin núcleos.
Tipos celulares en epidermis (origen, función, cómo verlos)
Queratinocitos (la gran mayoría)
-
Origen: ectodermo superficial.
-
Función: forman la barrera y responden a señales de estrés/inflamación de forma fisiológica. Yousef 2024
-
Cómo verlos: son casi la totalidad de la epidermis en H&E: su morfología cambia por estrato.
Melanocitos
-
Origen: cresta neural.
-
Función: producción de melanina y transferencia de melanosomas (fotoprotección). Mort 2015
-
Cómo verlos en H&E: a menudo son discretos; sugiérelos por ubicación (basal) más que por “verlos” claramente. En docencia, se entienden mejor con tinciones/inmuno (ver foto con tinción para Melan-A).
Células de Langerhans
-
Origen/rol: células dendríticas residentes; vigilancia inmune. Romani 2010
-
Cómo verlas en H&E: no confiable en rutina; lo importante aquí es saber que existen y dónde residen (suprabasal).
-
Curiosidad histórica: descritas por Paul Langerhans (siglo XIX) y al inicio se interpretaron de otra forma por las técnicas disponibles; buen ejemplo de cómo la morfología depende de la metodología. Romani 2010
Células de Merkel
-
Rol: mecanotransducción en complejos con neuronas. Woo 2015
-
Cómo verlas: raras; no suelen ser identificables de forma consistente en H&E.
Diferenciales de “normalidad” (para no confundirse)
-
Variación por sitio anatómico: grosor epidérmico y prominencia del granuloso/córneo cambian con el sitio y la fricción. Yousef 2024
-
Variación por orientación: cortes tangenciales hacen que la epidermis parezca más gruesa o irregular (sin serlo).
Pitfalls frecuentes
-
Corte tangencial: el principal enemigo; “engrosa” artificialmente epidermis y distorsiona estratos (ver próxima foto)
-
Retracción: puede exagerar espacios y puentes intercelulares; en normalidad puede verse.
-
Compresión/knife marks: bandas o “arrugas” del tejido que simulan cambios.
-
Secado o mala fijación: hiperbasofilia nuclear o pérdida de detalle citoplasmático.
-
Confundir anexos con epidermis: en piel con pelo, el folículo puede dominar; vuelve siempre al “techo” (córneo) y al granuloso para reorientarte.
Perlas, trampas y errores frecuentes
-
Si no ves granuloso (o lo ves muy engrosado), antes de preocuparte pregunta: ¿qué sitio es? ¿el corte es perpendicular?
-
Melanocitos/Langerhans/Merkel: lo clave en este módulo es ubicación y función, no “forzar” su identificación en H&E de rutina (porque suelen requerir de tinciones especiales para su visualización). Mort 2015; Romani 2010; Woo 2015
Lecturas recomendadas
Esenciales (3–6)
-
Epidermis: arquitectura general y estratos — Yousef 2024
-
Barrera del estrato córneo (marco funcional) — Del Rosso 2016
-
Diferenciación queratinocitaria y calcio — Bikle 2012
-
Melanocitos: desarrollo normal (para entender su discreción en H&E) — Mort 2015
Para profundizar (3–8)
-
Filagrina y biología de barrera — Sandilands 2006
-
Langerhans y dendríticas cutáneas (visión integradora) — Romani 2010
-
Merkel cells y mecanosensación — Woo 2015
Bibliografía y fuentes
-
Yousef H, Alhajj M, Fakoya AO, Sharma S. Anatomy, Skin (Integument), Epidermis. In: StatPearls [Internet]. Treasure Island (FL): StatPearls Publishing; 2024. Yousef 2024
-
Del Rosso JQ, Zeichner J, Alexis A, et al. Understanding the epidermal barrier in healthy and compromised skin. J Clin Aesthet Dermatol. 2016;9(4 Suppl 1):S2–S8. Del Rosso 2016
-
Bikle DD, Xie Z, Tu CL. Calcium regulation of keratinocyte differentiation. Expert Rev Endocrinol Metab. 2012;7(4):461–472. Bikle 2012
-
Sandilands A, Terron-Kwiatkowski A, Hull PR, et al. Prevalent and rare mutations in the gene encoding filaggrin cause ichthyosis vulgaris and predispose individuals to atopic dermatitis. J Invest Dermatol. 2006;126(8):1770–1775. Sandilands 2006
-
Mort RL, Jackson IJ, Patton EE. The melanocyte lineage in development and disease. Development. 2015;142(4):620–632. Mort 2015
-
Romani N, Clausen BE, Stoitzner P. Langerhans cells and more: langerin-expressing dendritic cell subsets in the skin. Immunol Rev. 2010;234(1):120–141. Romani 2010
-
Woo SH, Lumpkin EA, Patapoutian A. Merkel cells and neurons keep in touch. Trends Cell Biol. 2015;25(2):74–81. Woo 2015










