- Nombres alternativos.
Pitiriasis liquenoide et varioliforme aguda (PLEVA, enfermedad de Mucha-Habermann).
Pitiriasis liquenoide crónica (PLC).
Variante fulminante: enfermedad de Mucha-Habermann febril ulceronecrótica (FUMHD). Bowers 2006, Khachemoune 2007.
- Primeras descripciones.
Forma aguda descrita por Mucha (1916) y Habermann (1925); la variante febril ulceronecrótica fue descrita por Degos (1966). Tsuji 1996, Maekawa 1994.
- Epidemiología.
Trastorno poco frecuente; claro predominio pediátrico y en adultos jóvenes; cursos más persistentes en niños y PLC más duradera que PLEVA. Zang 2018, Wahie 2007.
No hay sexo claramente predominante en todas las series; la distribución por tronco y proximales es típica. Bowers 2006.
- Códigos.
ICD-10: L41.0 (PLEVA), L41.1 (PLC), L41.9 (PL, no especificada), ICD-11: EA93 (pityriasis lichenoides).
- Checklist diagnóstico (rápido)
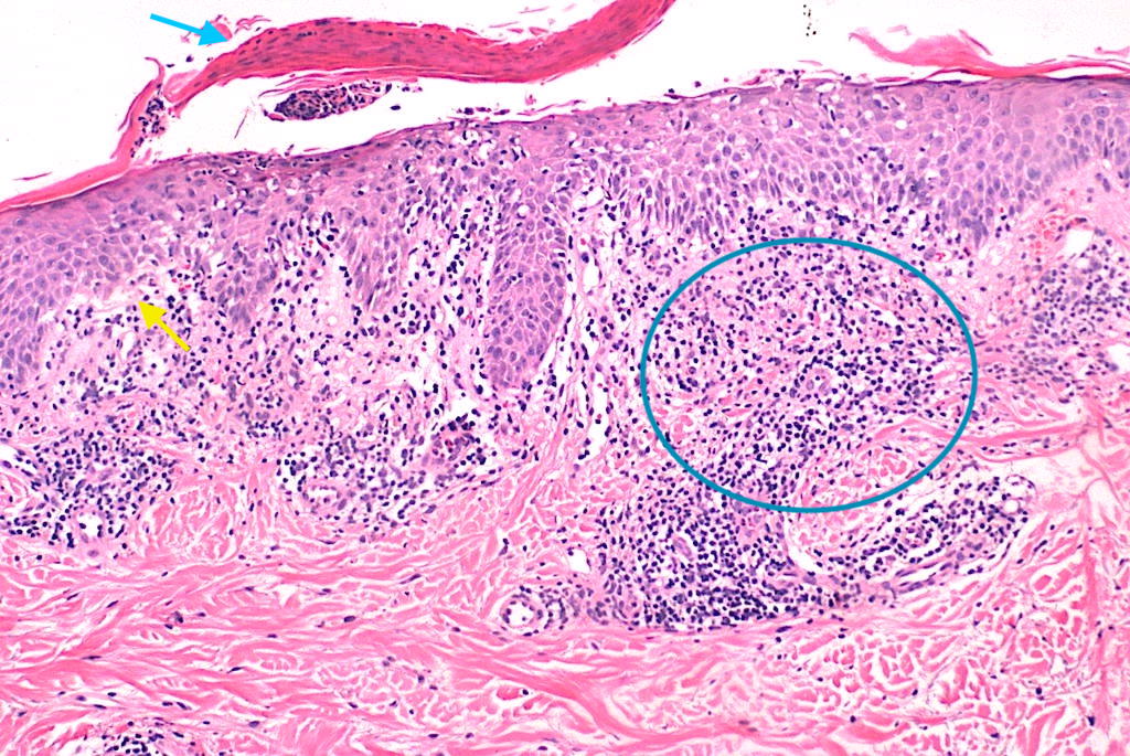
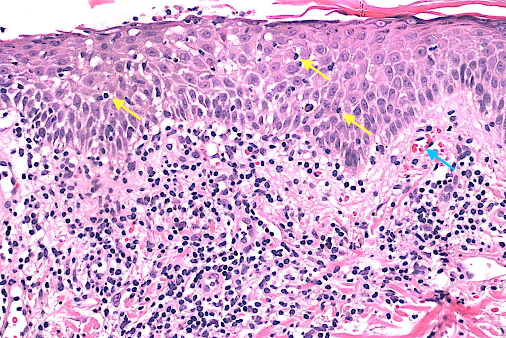
Clínica compatible (distribución tronco-proximal, pápulas necrosantes en PLEVA; máculo-pápulas descamativas en PLC). Bowers 2006.
Biopsia punch 4–5 mm de lesión temprana ± costrosa con H&E; considerar segunda biopsia perilesional para IFD si dudas de vasculitis. Muhlbauer 1984.
Inmuno: panel T (CD3, CD4, CD8, CD30); TCR-γ/β si persiste duda con LyP/MF (papulosis linfomatoide/micosis fungoides). Wood 1987, Dereure 2000.
Laboratorio por diferenciales: VDRL/RPR, VIH, pruebas estreptocócicas según clínica. Teklehaimanot 2024.


