- Nombres: Liquen plano (LP), Lichen planus / lichen ruber planus, Liquen plano de Wilson
- Variantes: liquen plano oral (LPO), liquen planopilar (LPP), liquen plano ungueal, liquen plano hipertrofia, liquen plano bulloso, liquen plano actínico, liquen plano pigmentoso, etc.Gorouhi 2014,Solimani 2021
- Historia
- Descrito y nombrado como “lichen planus” por Erasmus Wilson en 1869.Boorghani 2010
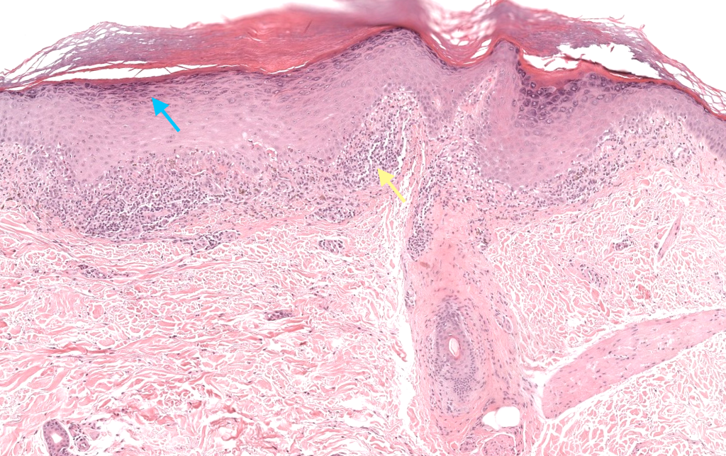
- Las estrías de Wickham fueron descritas a finales del siglo XIX y siguen siendo un signo clínico cardinal.Gorouhi 2014
- Epidemiología
- LP mucocutáneo global: prevalencia aproximada 0,5–1% de la población general.Gorouhi 2014
- Liquen plano oral (LPO): prevalencia global combinada 0,89% en población general (0,57% Asia; 1,68% Europa; 1,39% Sudamérica), mayor en mujeres y >40 años.Li 2020
- Estudios locales confirman mayor frecuencia de afectación oral respecto a cutánea en series de consulta odontológica.Omal 2012
- Pico de edad: 30–70 años; raro en infancia.Le Cleach 2012,Boorghani 2010
- Sexo: ligera predominancia femenina (≈ 1,3–1,5:1 en LPO).Li 2020
- Asociaciones: Hepatitis C (VHC): riesgo aumentado (OR ~4–5 para LP/LPO en metaanálisis), con variación geográfica (más fuerte en Mediterráneo, Japón, partes de Sudamérica).Lodi 2010,Alaizari 2016
- Códigos ICD
- ICD-10 L43 – Liquen plano (categoría general), L43.0 – Liquen plano hipertrófico, L43.1 – Liquen plano bulloso, L43.2 – Reacción liquenoide por fármacos, L43.3 – Liquen plano subagudo (activo), L43.8 – Otros liquenes planos, L43.9 – Liquen plano, no especificado, L66.11 – Liquen planopilar clásico (folicular LP)
- ICD-11 (EA91: Lichen planus) EA91.0 – Liquen plano eruptivo agudo, EA91.1 – Liquen plano hipertrófico, EA91.2 – Liquen plano folicular / LPP, EA91.3 – Liquen plano de piel y mucosa genital, EA91.4 – Liquen plano y reacciones liquenoides de mucosa oral, EA91.5 – Liquen plano ungueal, EA91.6 – Liquen plano subagudo, EA91.Y/EA91.Z – Otros / no especificado
- Checklist diagnóstico (rápido)
- Clínica imprescindible
- ¿Hay pápulas/placas violáceas pruriginosas típicas (6 P)?
- ¿Hay estrías de Wickham en piel/mucosa?
- Topografía: muñecas, piernas, mucosa yugal, genital, cuero cabelludo, uñas.
- ¿Curso crónico o brotes autolimitados?
- ¿Fármacos nuevos últimos 3–6 meses? (posible liquenoide medicamentoso)
- ¿Factores de riesgo de VHC / hepatopatía?
- Clínica imprescindible
-
- Laboratorio / gabinete mínimo
- Serología VHC (al menos una vez).
- Hemograma, PFH, PFR antes de terapia sistémica.
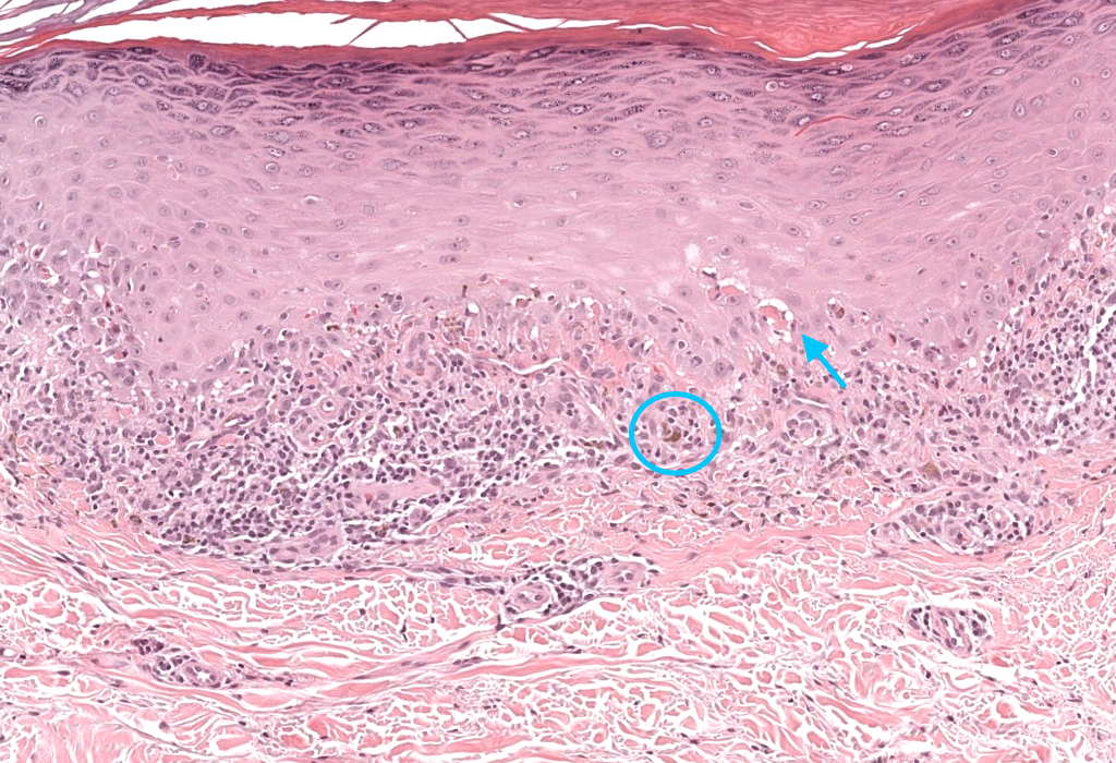
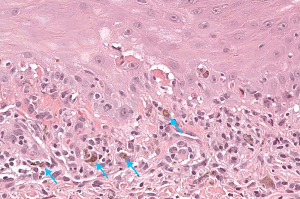
- Biopsia
- Tipo: punch 4–5 mm piel / incisional mucosa.
- Localización: lesión activa reciente / borde de erosión en LPO.
- Segunda biopsia en medio para IFD si duda con lupus, penfigoide, pénfigo.
- Laboratorio / gabinete mínimo


