- Definición y sinónimos
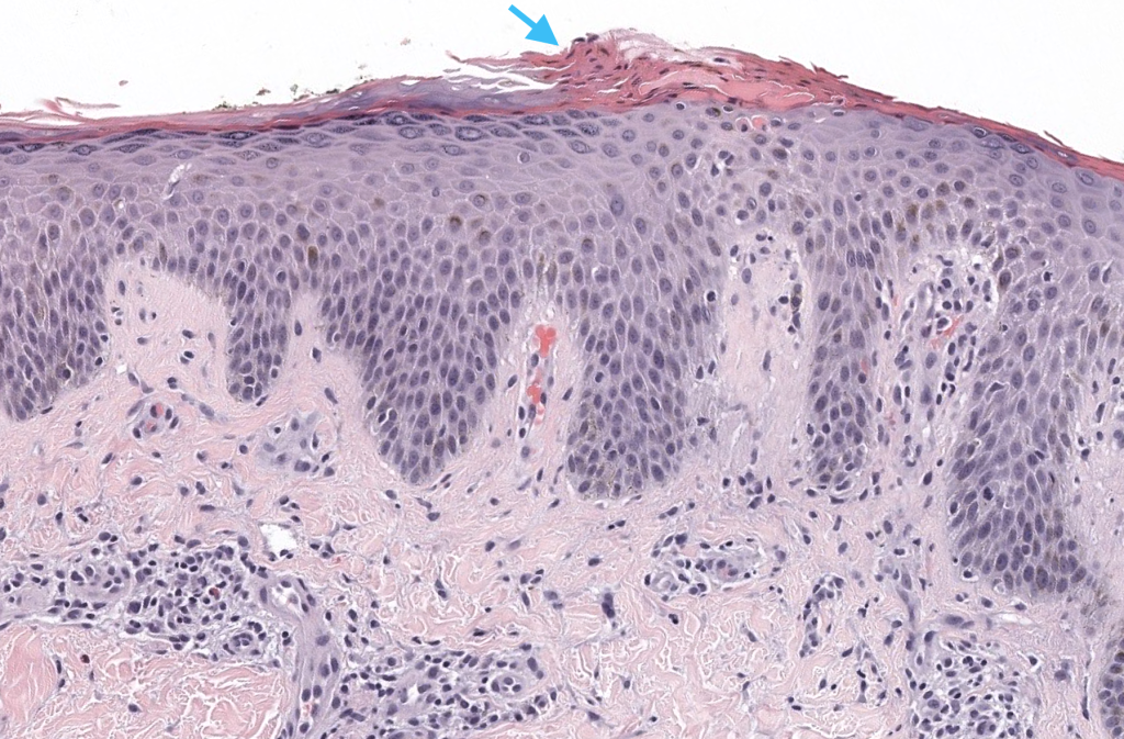
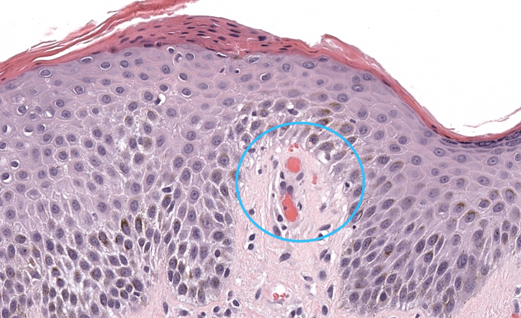
- Pitiriasis rosada (PR) o pitiriasis rosada de Gibert es un exantema papuloescamoso agudo, autolimitado, probablemente relacionado con reactivación de herpesvirus humano 6 y 7 (VHH-6/VHH-7), que se caracteriza por una “placa heraldo” seguida de múltiples máculo-placas ovaladas con collarete descamativo en tronco y raíz de extremidades. Mahajan 2016, Leung 2021, Drago 2016, Villalon-Gomez 2018
Sinónimos: “enfermedad de Gibert”, Gibert disease, pityriasis rosea.
- Pitiriasis rosada (PR) o pitiriasis rosada de Gibert es un exantema papuloescamoso agudo, autolimitado, probablemente relacionado con reactivación de herpesvirus humano 6 y 7 (VHH-6/VHH-7), que se caracteriza por una “placa heraldo” seguida de múltiples máculo-placas ovaladas con collarete descamativo en tronco y raíz de extremidades. Mahajan 2016, Leung 2021, Drago 2016, Villalon-Gomez 2018
- Historia
- PR probablemente descrita inicialmente por Robert Willan bajo otra terminología a finales del siglo XVIII; la descripción clásica y el nombre “pitiriasis rosada” se atribuyen a Camille-Melchior Gibert (1860). Mahajan 2016, Drago 2009
- Desde entonces se han descrito numerosas variantes clínicas y series epidemiológicas que apoyan un origen infeccioso. Chuh 2005, Mahajan 2016
- Epidemiología
- Frecuente: representa hasta ~2% de las consultas dermatológicas en algunas series hospitalarias. Mahajan 2016, Leung 2021
- Edad: pico entre 10–35 años; también frecuente en adolescentes y adultos jóvenes. Leung 2021, Villalon-Gomez 2018
- Sexo: sin claro predominio; algunas series muestran ligera predominancia femenina, otras masculina (p.ej. serie india con proporción H:M 1.3:1). Leung 2021, Chhabra 2018
- Distribución geográfica: mundial, descrita en múltiples continentes y etnias. Mahajan 2016, Leung 2021
- Estacionalidad y agrupamiento: se observan picos en primavera y otoño, y agrupamiento temporal de casos en diferentes países, lo que apoya etiología infecciosa. Chuh 2005, Drago 2009
- Códigos
- CD-10: L42 – Pitiriasis rosada
- ICD-11: EA10 – Pityriasis rosea (papulosquamous disorders attributable to viral infection)
- Checklist diagnóstico (rápido)
- Clínica imprescindible
- Exantema agudo papuloescamoso en tronco/partes proximales de miembros.
- Placa heraldo presente (ideal) o historia típica de lesión inicial mayor.
- Distribución en líneas de Langer (“árbol de Navidad”).
- Prurito leve-moderado, síntomas sistémicos ausentes o leves.
- Ausencia de compromiso palmoplantar, facial marcado o mucosas ulceradas.
- Datos de historia
- Edad 10–35 años.
- Duración esperada <10–12 semanas.
- No uso reciente de fármacos muy implicados en PR-like (IECA, oro, ciertos biológicos, ibrutinib, etc.). Drago 2018
- En mujeres en edad fértil: descartar o confirmar embarazo.
- Laboratorio/gabinete mínimos (según contexto)
- VDRL/RPR (± prueba treponémica) si hay dudas o factores de riesgo.
- KOH directo si sospecha de tinea corporis.
- VIH según prácticas locales y riesgo.
- En caso de planear aciclovir sistémico: creatinina sérica ± perfil básico.
- Biopsia
- Solo si presentación atípica, curso prolongado, lesiones muy purpúricas/vesiculares o duda con PLC/LCCT.
- Punch 4–5 mm de lesión secundaria reciente, enviada en formalina al 10%.
- Clínica imprescindible

