- Nombres: Tumor mixto cutáneo, Siringoma condroide, Adenoma pleomórfico de la piel (por su similitud histológica con el adenoma pleomorfo de glándulas salivales) Obaidat 2007,Wan 2018
- Historia: Probablemente descrito por Nasse en 1892 como tumor mixto de piel. El término “Siringoma condroide” fue propuesto por Hirsch y Helwig en 1961 en una serie clásica de casos.Kallam 2013 (citando Hirsch & Helwig)
- Epidemiología:
- Tumor anexial raro: aprox. 0,01–0,098 % de todos los tumores cutáneos primarios.Wan 2018,Huang 2022
- Predomina en adultos de mediana edad (4ª–6ª décadas), aunque se han descrito casos desde adolescencia hasta ancianos.Bedir 2016,Wan 2018
- Claro predominio masculino (≈2–4:1) en formas benignas; las formas malignas se describen algo más en mujeres.Bedir 2016,Zufall 2022
- Localización típica: cabeza y cuello (nariz, labio superior, mejilla, frente, cuero cabelludo, pabellón auricular, párpados, región periorbitaria).Wan 2018,Belfquih 2012,Walvekar 2021
- Otras localizaciones reportadas: tronco, espalda baja, extremidades, labio, mentón, pie, genitales externos.Huang 2022,Anandani 2023,Reddy 2018
- Códigos: No existe código específico para “siringoma condroide”; se codifica por comportamiento y localización.
- ICD-10 (orientativo, depende de la localización): D23.x – Otros tumores benignos de la piel (ej. D23.0 cara / D23.3 cuero cabelludo). Formas malignas: C44.x – Otros tumores malignos de la piel (según región anatómica).
- ICD-11 2F3Z / “Other specified benign neoplasms of skin” + extensión histológica específica (p. ej. XH70N8 “Chondroid syringoma” en algunas tablas de codificación).
- Checklist diagnóstico (rápido)
- Clínica imprescindible
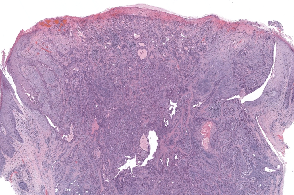
- Nódulo dérmico/subcutáneo solitario, bien delimitado, de crecimiento lento, generalmente en cabeza y cuello.
- Tamaño, tiempo de evolución, síntomas (dolor, ulceración, crecimiento rápido).
- Exploración ganglionar regional.
- Clínica imprescindible
-
- Pruebas de imagen (si se requieren)
- Ecografía cutánea para valorar extensión y características sólidas.
- TC/RM en lesiones profundas (especialmente órbita y región periorbitaria).
- Pruebas de imagen (si se requieren)
-
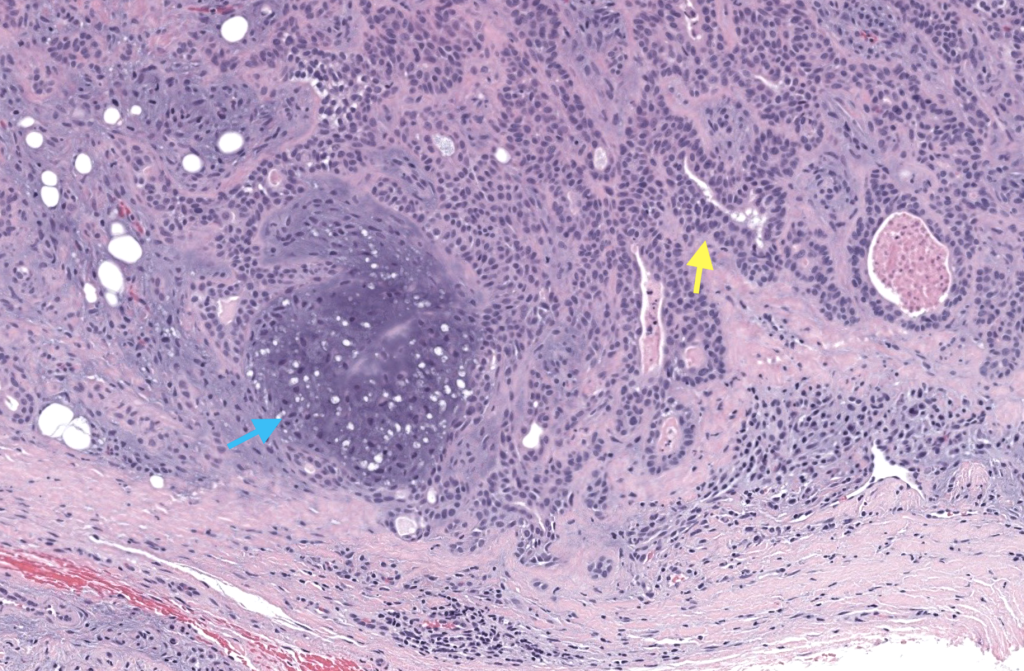
- Biopsia / pieza
- Preferible escisión completa (pequeños) o biopsia profunda que incluya dermis e hipodermis (grandes/sospechosos).
- Biopsia / pieza

