- Sinónimos: Dermatosis neutrofílica febril aguda (DNFA), (acute febrile neutrophilic dermatosis).
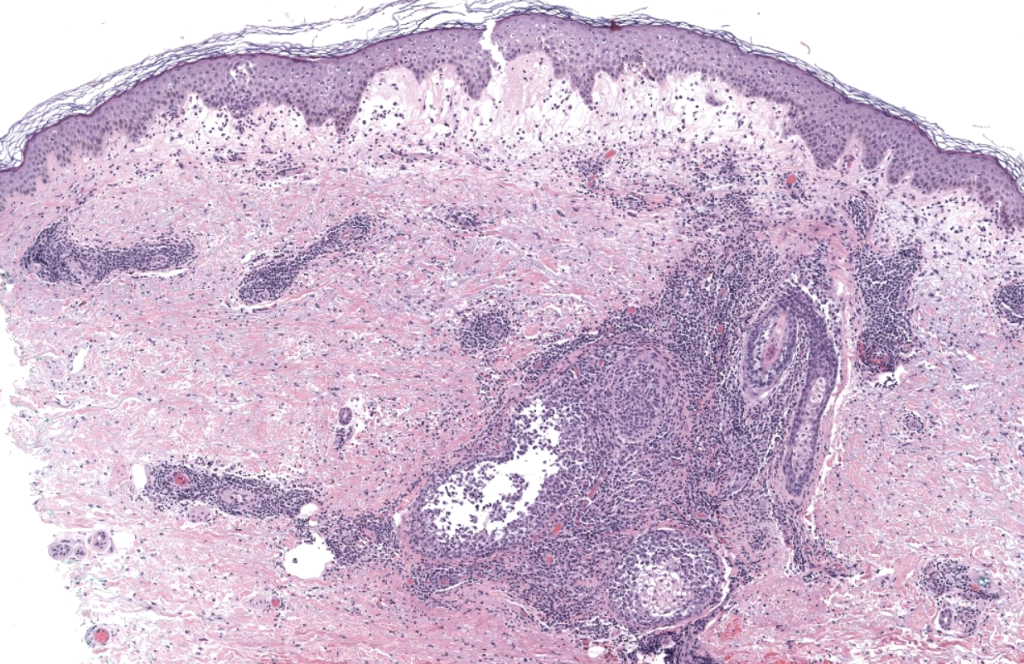
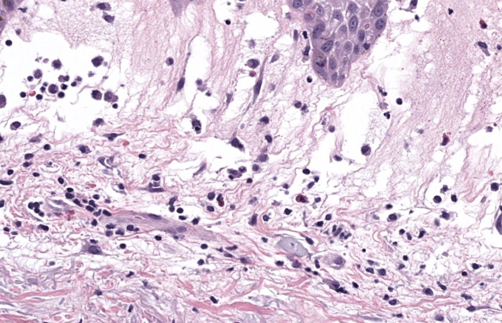
- Definición: dermatosis inflamatoria caracterizada por inicio abrupto de pápulas/nódulos/placas eritemato-violáceas dolorosas, acompañadas con frecuencia de fiebre y marcadores inflamatorios elevados, con infiltrado dérmico neutrofílico (típicamente sin vasculitis primaria). Sweet 1964, Cohen 2007
- Primera descripción: Robert Douglas Sweet, 1964 (Br J Dermatol). Sweet 1964
- Epidemiología (perlas prácticas):
- Más frecuente en mujeres de mediana edad en la forma “clásica/idiopática”. von den Driesch 1994, Cohen 2007
- Puede asociarse a neoplasias (en especial hematológicas como LMA/SMD) y en un subgrupo precede o coincidecon el diagnóstico oncológico. Cohen 1988, Bourke 1997
- Embarazo: asociación reconocida; revisiones modernas resumen presentación y abordaje en gestación. von den Driesch 1994, Glennon 2024
- Códigos (orientativos):
- ICD-10: suele codificarse como L98.2 (otras afecciones de la piel y tejido subcutáneo).
- ICD-11: puede variar por mapeo local (buscar “Sweet syndrome / acute febrile neutrophilic dermatosis” en el navegador ICD-11 institucional).
- Checklist diagnóstico (rápido)
- Clínica: inicio abrupto de lesiones dolorosas + fiebre/malestar. Cohen 2007
- Labs: Hemograma con diferencial + PCR/VSG. Fett 1995
- Confirmación: biopsia punch. Guhl 2008
- Criterios: aplicar set de criterios (Su/Liu y revisiones modernas cuando falten elementos “clásicos”). Su 1986, Nofal 2017
- Tamizaje dirigido: fármacos recientes (G-CSF/ATRA/otros) y búsqueda de malignidad si hay red flags. Thompson 2007, Cohen 1988

