- Definición y sinónimos
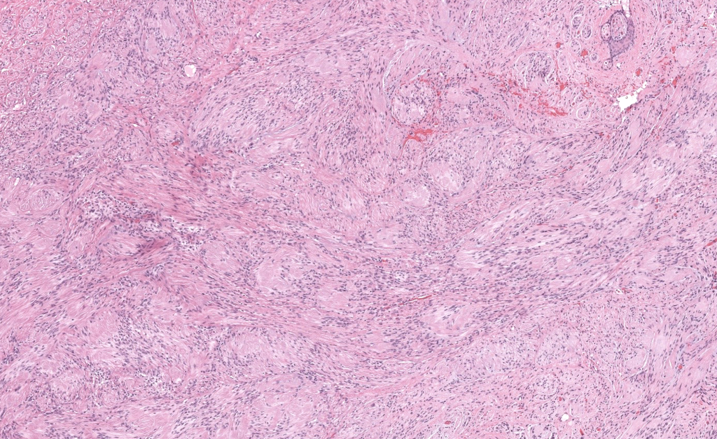
- Schwannoma cutáneo: tumor benigno de vaina nerviosa, bien delimitado, habitualmente encapsulado, originado en ramas nerviosas cutáneas (dermis y/o tejido celular subcutáneo), constituido casi totalmente por células de Schwann.
- Sinónimos: neurilemoma, neurinoma de Verocay, schwannoma de piel, schwannoma superficial (Rodriguez 2012, Magro 2022)
- Historia
- Los schwannomas fueron descritos como “neurinomas” por José Juan Verocay en 1910, quien identificó los cuerpos que llevan su nombre (Ortiz-Hidalgo 2004).
- Las áreas Antoni A/B fueron descritas por Nils Antoni en 1920; posteriormente Stout popularizó el término neurilemoma y Harkin & Reed consolidaron el término schwannoma en la clasificación moderna (Joshi 2012, Hilton 2014).
- Epidemiología
- La prevalencia global estimada de schwannoma benigno (todas las localizaciones) es ~1–9/100.000 habitantes; la mayoría son tumores esporádicos y solitarios Hilton 2014.
- Hasta un 90 % de los schwannomas son esporádicos y solitarios; el resto ocurre en el contexto de NF2-related schwannomatosis o schwannomatosis asociada a SMARCB1/LZTR1 (Pellerino 2023, Magro 2022).
- Edad: pico en adultos jóvenes y de mediana edad (3ª–5ª década), pero puede verse desde la infancia hasta la ancianidad (Chikkannaiah 2016, Majumder 2021, Fujimura 2014, Gupta 2023).
- Sexo: sin claro predominio, con distribución similar entre hombres y mujeres en series de schwannomas periféricos (Majumder 2021, Arcot 2012).
- Localización: schwannoma puede aparecer en cualquier nervio periférico; formas cutáneas afectan principalmente cabeza y cuello, tronco, extremidades (incluyendo acrales), cuero cabelludo y región labial (Patel 2017, Gutte 2014, Mohan 2013, Gupta 2023).
- Múltiples schwannomas cutáneos, especialmente plexiformes, se asocian a NF2/schwannomatosis (Reith 1996, Attia 2011, Ko 2009).
- Códigos ICD
- ICD-10-CM (tumor benigno de vaina nerviosa periférica, incluye schwannoma cutáneo):
- D36.1 Benign neoplasm of peripheral nerves and autonomic nervous system.
- Subcódigos por localización (p. ej. D36.11 cara/cabeza/cuello, D36.12 extremidad superior, D36.13 extremidad inferior, etc.)
- ICD-11: categoría general 2F3Y – Benign peripheral nerve sheath tumour, con extensión histopatológica XH98Z3 – Schwannoma, NOS
- ICD-10-CM (tumor benigno de vaina nerviosa periférica, incluye schwannoma cutáneo):
- Checklist diagnóstico (rápido)
- Clínica imprescindible
- Nódulo dérmico/subcutáneo solitario, de crecimiento lento
- Localización compatible (cabeza/cuello, tronco, extremidades, acral).
- Dolor/parestesias a la presión o Tinel local (sí/no).
- Historia de múltiples lesiones o antecedentes familiares de NF2/schwannomatosis (sí/no).
- Estudios de imagen (si procede)
- Ecografía o RM si: tamaño grande, relación con nervio mayor, déficit neurológico, sospecha plexiforme/profundo.
- Biopsia
- Exéresis completa (preferible) o incisional profunda incluyendo dermis-hipodermis.
- Fijación en formol 10 %; correcta rotulación de localización.
- Antes de cerrar el caso
- Revisar si hay criterios de síndrome predisponente (NF2/schwannomatosis, Carney) → derivar a Genética si procede.
- Confirmar márgenes libres en exéresis.
- Programar seguimiento clínico (al menos 1–2 años en variantes atípicas o plexiformes).
- Clínica imprescindible
