- Definición y sinónimos
- Tumor epitelial escamoso cutáneo, bien diferenciado, de crecimiento rápido (semanas) y curso habitualmente autolimitado, con morfología en “cráter” relleno de queratina, pero con potencial de invasión local y, raramente, metástasis. Hoy se considera en la práctica clínica un CEC bien diferenciado de bajo grado (“CEC tipo queratoacantoma”, “carcinoma epidermoide queratoacantoma-like”). Kwiek 2016, Schwartz 2004
- Sinónimos históricos: epitelioma en cráter, molluscum sebáceum, CEC tipo queratoacantoma, “crateriform squamous proliferation”. Schwartz 2004
- Historia
- Descrito clínicamente como “crateriform ulcer of the face” por Hutchinson en 1889.
- El término “keratoacanthoma” se populariza a mediados del siglo XX para resaltar su crecimiento rápido y posible regresión. Nagarajan 2020
- Epidemiología
- Tumor frecuente pero infrarreportado entre los tumores queratinocíticos. Kwiek 2016
- Pico en adultos >60 años; excepcional en niños.
- Predomina en fototipos claros (I–III) y en áreas fotoexpuestas (cara, dorso de manos, antebrazos).
- Ligero predominio masculino en la mayoría de series. Sánchez Yus 2000, Watanabe 2015
- Incremento en pacientes inmunodeprimidos (trasplante sólido, hematológicos), y en tratados con inhibidores de BRAF, EGFR, PD-1 o TGF-β. Kwiek 2016, Ambur 2022
- Códigos (siempre verificar normativa local de codificación)
- ICD-10-CM
- L85.8 – Otros engrosamientos epidérmicos especificados (utilizado en muchos sistemas para QA solitario).
- D48.5 – Neoplasia de comportamiento incierto de piel (cuando se enfatiza la incertidumbre biológica).
- C44.x – Carcinoma epidermoide de piel (cuando se codifica como CEC tipo queratoacantoma).
- ICD-11
- 2C31.1 – Keratoacanthoma.
- ICD-10-CM
- Checklist diagnóstico (rápido)
- Clínica imprescindible
- Paciente adulto (frecuente >60 años) con nódulo de crecimiento rápido (semanas).
- Lesión cupuliforme con cráter central queratósico, generalmente en área fotoexpuesta.
- Dermatoscopia con queratina central, círculos blancos y vasos en horquilla / puntos hemorrágicos (si disponible).
- Laboratorio / gabinete mínimos
- No se requieren analíticas específicas para la lesión aislada.
- Considerar imagen (eco/TC) si tumor grande, profundo o cerca de estructuras críticas.
- Biopsia
- Escisión completa (preferente) o incisional profunda que incluya borde y base del cráter.
- Muestra fijada en formalina 10%, con identificación anatómica y sospecha clínica clara.
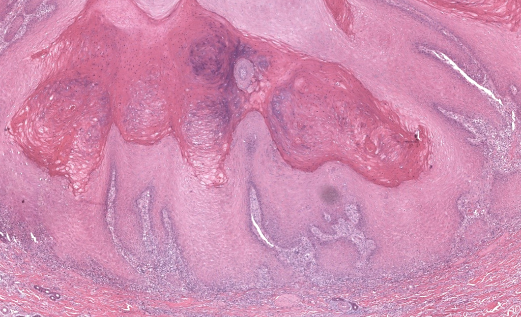
- Histología / IHQ clave
- Arquitectura crateriforme simétrica con base de empuje.
- Atipia leve-moderada, índice Ki-67 bajo-moderado, p53 no difuso.
- Ausencia de lengüetas infiltrativas profundas, invasión perineural y/o atipia marcada → QA clásico.
- Si hallazgos dudosos o “borderline” → etiquetar como CEC tipo QA y manejar como CEC.
- Clínica imprescindible

