- Definición y nombres alternativos
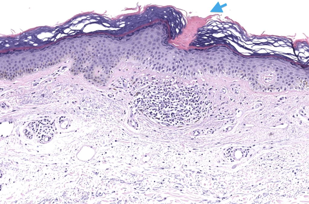
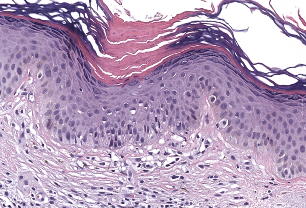
- Grupo heterogéneo de trastornos de queratinización caracterizados clínicamente por placas/pápulas anulares con borde hiperqueratósico y atrofia central, e histológicamente por la lamela cornoide (cornoid lamella). Vargas-Mora 2020, Kostopoulos-Kanitakis 2025
- Variantes clínicas principales: poroqueratosis de Mibelli, poroqueratosis superficial diseminada actínica (PSDA/DSAP), poroqueratosis lineal, poroqueratosis punctata, poroqueratosis palmar-plantar diseminada (PPPD) y poroqueratosis ptychotropica (genitoglútea/interglútea). Pietkiewicz 2023, Vargas-Mora 2020,
- Primera descripción
- La poroqueratosis de Mibelli se describió clásicamente a finales del siglo XIX; las revisiones modernas atribuyen la descripción original a Vittorio Mibelli (1893). Vargas-Mora 2020
- Epidemiología (puntos prácticos)
- Es poco frecuente, pero puede estar infradiagnosticada; en un estudio nacional sueco se estimó una prevalencia ~1/4132 (registros 2001–2020). Inci 2023
- En cohortes clínicas, la PSDA/DSAP suele ser la variante más común; series hospitalarias han reportado predominio de DSAP y edad típica de consulta en la adultez media. Leow 1996, Inci 2023
- Factores que favorecen aparición/expresión: radiación UV, inmunosupresión (p. ej., trasplante/terapias) y ciertos fármacos. Kostopoulos-Kanitakis 2025, Lu 2021
- Códigos ICD-10 (nota práctica)
- Poroqueratosis (no especificada) → Q82.8 (Other specified congenital malformations of skin).
- Poroqueratosis de Mibelli → Q82.8 (incluye “Mibelli’s disease (porokeratosis)” en el índice).
- Poroqueratosis superficial diseminada actínica (PSDA/DSAP) → L56.5.
- Poroqueratosis superficial diseminada (DSP, no actínica) → Q82.8 (no hay código específico separado en ICD-10-CM).
- Poroqueratosis lineal → Q82.8 (sin código específico separado).
- Poroqueratosis punctata → Q82.8 (habitual cuando se documenta como poroqueratosis).
- Alternativa si se codifica como queratosis punctata palmoplantar (cuando el cuadro es estrictamente palmoplantar y se usa ese rótulo diagnóstico): L85.2.
- Poroqueratosis palmaris, plantaris et disseminata (PPPD) → Q82.8 (sin código específico separado).
- Poroqueratosis ptychotropica → Q82.8 (sin código específico separado).
- Checklist diagnóstico (rápido)
- Clínica: morfología anular + borde queratósico elevado + distribución (fotoexpuesta vs lineal vs palmo-plantar vs genitoglútea). Vargas-Mora 2020
- Historia dirigida: UV, inmunosupresión/trasplante, cronología de fármacos. Lu 2021, Kostopoulos-Kanitakis 2025
- Biopsia: punch/incisional del borde (ideal 4–6 mm incluyendo cresta). Vargas-Mora 2020
- Vigilancia oncológica: documentar lesiones sospechosas y plan de seguimiento. Inci 2023

