- Nombres
- Nombre principal: Pénfigo vulgar (PV) / Pemphigus vulgaris.
- Otros: Pénfigo profundo, pénfigo mucocutáneo.
- Forma variante: pénfigo vegetante (Neumann, Hallopeau) como subtipo del PV. Buonavoglia 2019 PubMed
- Historia
- Descripciones clínicas de cuadros compatibles desde el siglo XVII–XVIII (Koenig, Wichmann, Macbride).
- Revisión clásica de la historia y evolución del concepto: King & Holubar, 1983. King 1983
- Epidemiología
- Enfermedad rara. Incidencia global media ≈ 0.5–3 casos/millón/año, con variación geográfica (picos más altos en Mediterráneo, Oriente Medio, India, América Latina). Kridin 2021, Zhao 2023
- Supone ~70–80 % de todos los pénfigos. Pollmann 2018
- Edad típica de inicio: 40–60 años, pero puede verse fuera de este rango. Kridin 2021
- Predilección étnica:
- Mayor frecuencia en judíos askenazíes, poblaciones del Mediterráneo, Oriente Medio, norte de India, Irán. Kridin 2021
- Sexo: leve predominio femenino o distribución similar según la serie. Zhao 2023
- Mortalidad actual con tratamiento especializado: ~5–15 %, principalmente por infecciones y complicaciones de la inmunosupresión. Pollmann 2018
- Códigos
- ICD-10: L10.0 – Pénfigo vulgar.
- ICD-11: EB40.0 – Pemphigus vulgaris (subcategorías EB40.00, EB40.0Y, EB40.0Z).
- Checklist diagnóstico (rápido)
- Clínica imprescindible
- Erosiones orales dolorosas ± ampollas flácidas/erosiones cutáneas extensas.
- Signo de Nikolsky/Asboe-Hansen (si es posible).
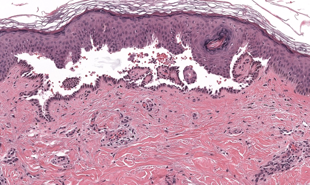
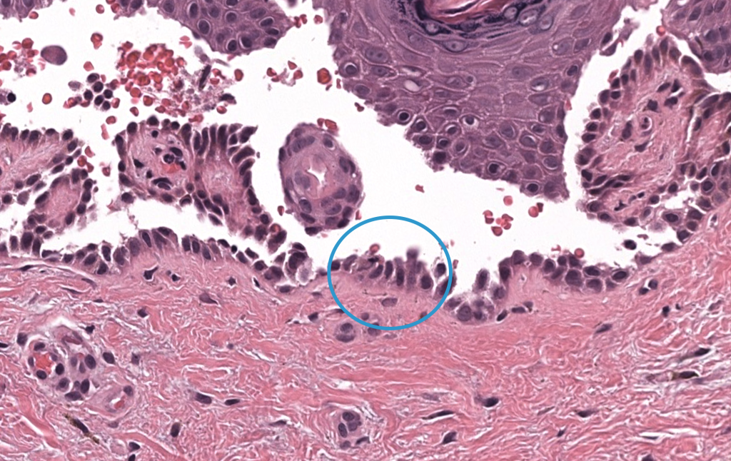
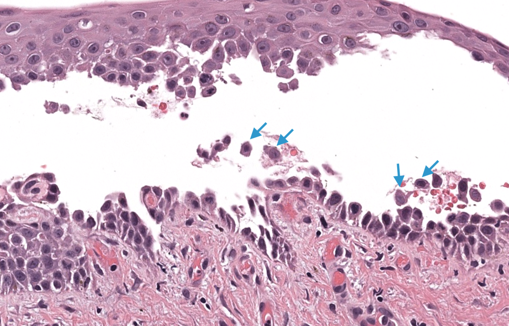
- Histología
- Biopsia de ampolla reciente / borde → ampolla suprabasal + acantólisis + “fila de lápidas”.
- Inmunopatología
- IFD perilesional: IgG ± C3 intercelular en patrón reticular epidérmico.
- IFI y/o ELISA anti-Dsg3 ± Dsg1 positivos.
- Laboratorio básico previo a inmunosupresión
- Hemograma, función hepática/renal, glucosa/lípidos.
- Serologías VIH, VHB, VHC, prueba de TB latente.
- Biopsia – técnica mínima
- 1 punch para H&E (ampolla/borde).
- 1 punch perilesional para IFD en Michel/suero fisiológico.
- Clínica imprescindible


