- Nombres alternativos. Mucinosis cutánea localizada (MCL) agrupa entidades primarias con depósito dérmico de mucina sin enfermedad tiroidea ni gammapatía monoclonal; destacan: liquen mixedomatoso localizado (LML) —subtipos: papular discreto, mucinosis papular persistente acral (APPM), nodular, mucinosis papular de la infancia y formas auto-resolutivas—, y mucinosis focal cutánea (MFC) (entidad separada con lesión única) Rongioletti 2001, Rongioletti 2006, Cárdenas-González 2019.
- Descripción histórica. LM/LML se organiza nosológicamente desde Montgomery & Underwood (1953); la MFC fue descrita por Johnson & Helwig (1966) Montgomery 1953, Rongioletti 2001.
- Epidemiología. LML es rara; el subtipo APPM (mucinosis localizada persistente acral) predomina en mujeres de mediana edad y afecta dorso de manos y muñecas; la MFC suele ser lesión única en adultos; la mucinosis cutánea juvenil autorresolutiva (SHJCM) es pediátrica y autolimitada Harris 2004, Luchsinger 2018.
- Códigos: ICD-10 L98.5 (Mucinosis cutánea). ICD-11 EB90.11 (Lichen myxoedematosus)
- Checklist diagnóstico (imprescindible):
-
Historia + EF: distribución (acral vs tronco), síntomas sistémicos (NO en LML).
-
Laboratorio (LML): TSH/T4; SPEP (Electroforesis de proteínas séricas) o bien IFX (Electroforesis por inmunofijación) para excluir MGUS (Gammapatía monoclonal de significado incierto).
-
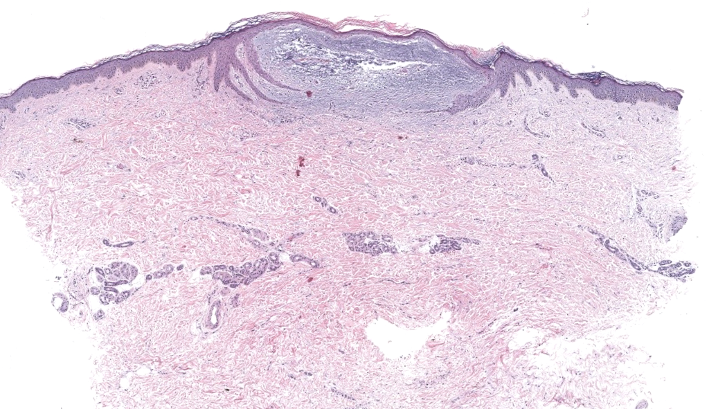
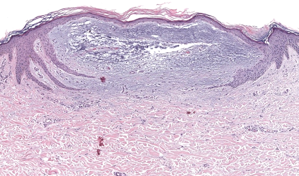
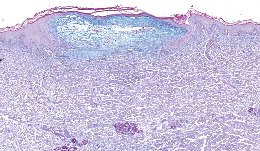
Biopsia adecuada: punch profundo/escisional; pedir Alcian blue pH 2.5, hierro coloidal y hialuronidasa(confirmar hialuronato).
-
Valorar DDx (escleromixedema, REM/túmido, mucinosis folicular, tumores mixoides).
-


