- 1a. Definición y sinónimos
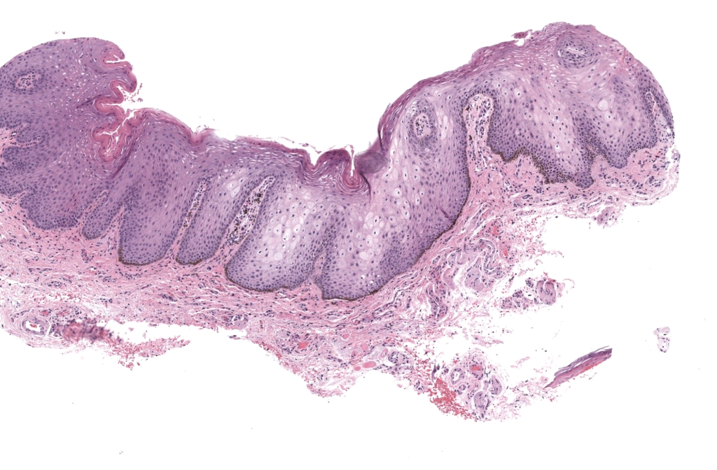
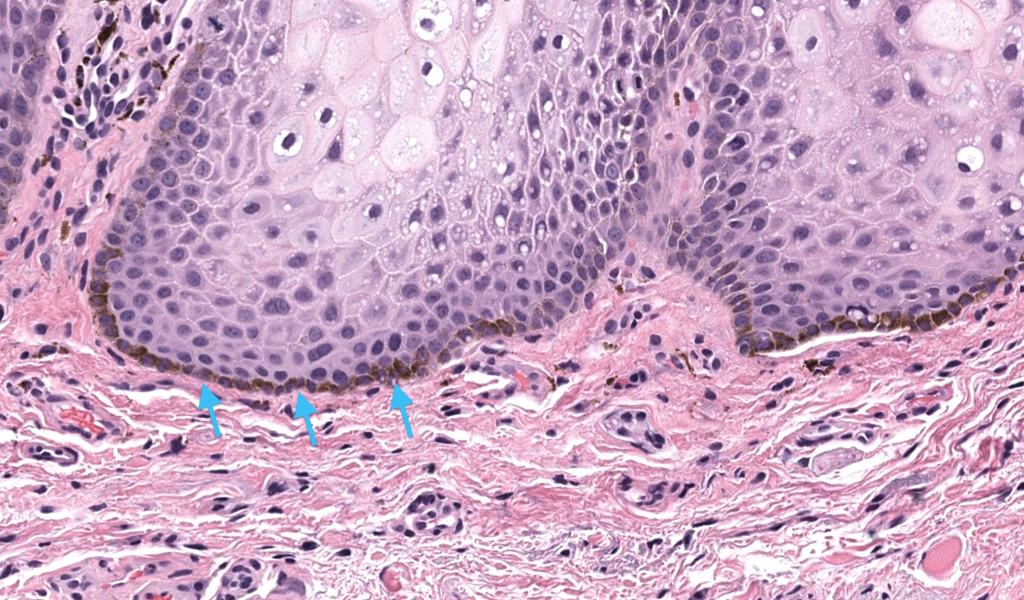
- La mácula melanótica (melanotic macule) es una hiperpigmentación macular benigna de mucosa (frecuente en labio y cavidad oral, y también en vulva/periné), caracterizada histológicamente por aumento de melanina en la capa basalcon mínima o nula proliferación melanocítica y sin atipia significativa. Kaugars 1993, Ho 1993, De Giorgi 2020
Nombres/uso clínico según localización: mácula melanótica labial, mácula melanótica oral, melanosis vulvar (o máculas melanóticas vulvares). Gupta 1997, Kaugars 1993, De Giorgi 2020
- La mácula melanótica (melanotic macule) es una hiperpigmentación macular benigna de mucosa (frecuente en labio y cavidad oral, y también en vulva/periné), caracterizada histológicamente por aumento de melanina en la capa basalcon mínima o nula proliferación melanocítica y sin atipia significativa. Kaugars 1993, Ho 1993, De Giorgi 2020
- Primera descripción
- La mácula melanótica oral fue consolidada como entidad clinicopatológica en series clásicas (p. ej., 1979). Buchner 1979
- El término y delimitación clínica de “mácula melanótica labial” se propuso en la literatura dermatológica en 1987. Spann 1987
- Epidemiología (puntos prácticos)
- Oral/labial (serie grande): edad media ~43 años, predominio femenino, y labio inferior como sitio frecuente (≈ un tercio en esa serie); tamaño medio ~6.8 mm. Kaugars 1993
- Labial (clínica de lesiones pigmentadas): seguimiento hasta ~13 años sin crecimiento/oscurecimiento en esa cohorte. Gupta 1997
- Vulvar: cohorte de 129 mujeres, edad media ~46 años, con seguimiento prolongado sin evolución maligna documentada (mediana ~13 años). De Giorgi 2020
- En consultas de mucosa oral, las lesiones orales pigmentadas (incluida la mácula melanótica) son un motivo no raro de consulta/cribado. Hassona 2016
- Códigos ICD-10 / ICD-11
- No hay un código único universal específico para “mácula melanótica”; en la práctica se codifica bajo categorías de trastornos de pigmentación o lesión de mucosa según sitio (esto varía por país/aseguradora; verificar manual local).
- Checklist diagnóstico (rápido)
- Historia: inicio, cambios, síntomas, trauma/irritación, fármacos, antecedentes personales/familiares de melanoma.
- Exploración completa de mucosas (oral y genital si aplica) y piel.
- Dermatoscopia ± fotografía basal/seguimiento anual si se observa (especialmente vulva). De Giorgi 2020
- Si hay red flags: biopsia (escisional si pequeño y factible; incisional/punch si grande o sitio complejo). Gupta 1997, De Giorgi 2020
- Si persiste duda histológica: IHQ (MART1/tirosinasa, Ki-67) ± PRAME como apoyo. De Giorgi 2020, Schmitt 2023, McCollum 2025

