- Definición y sinónimos
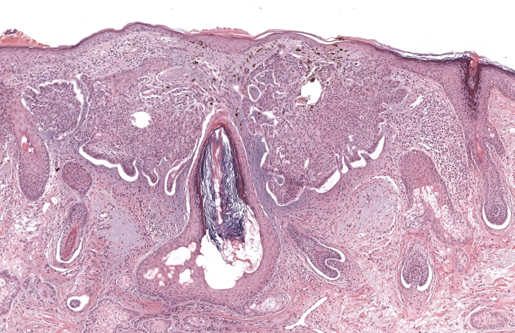
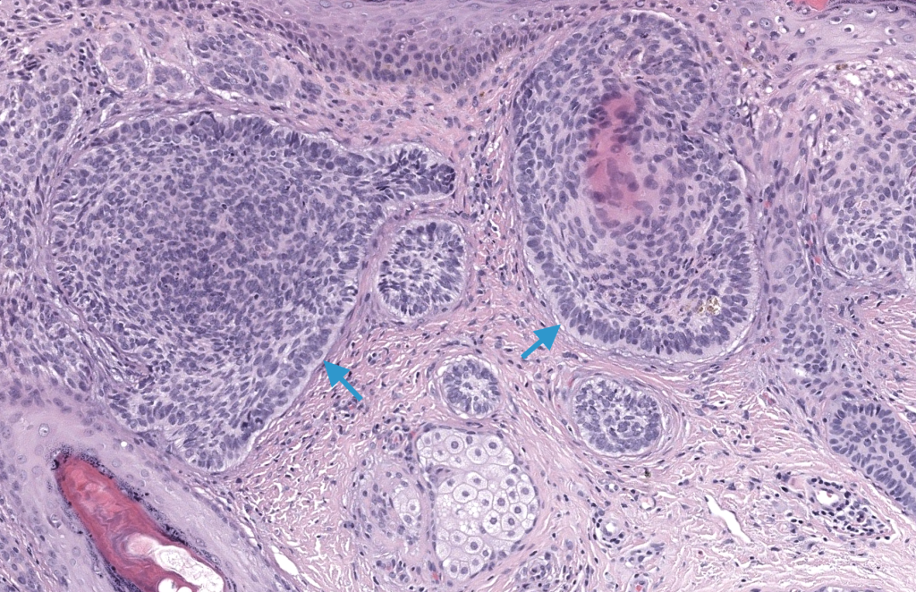
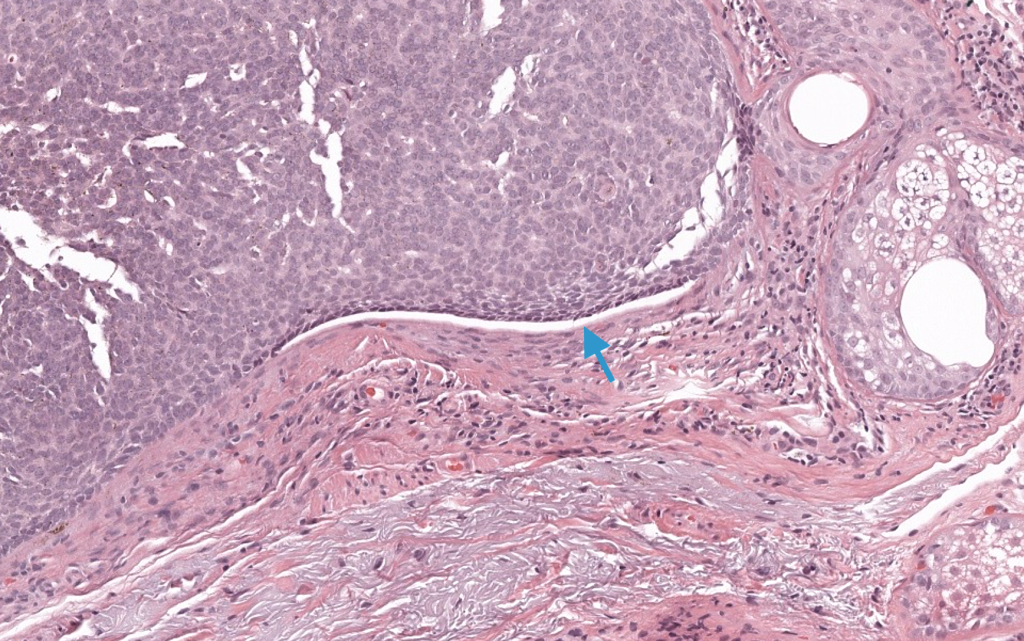
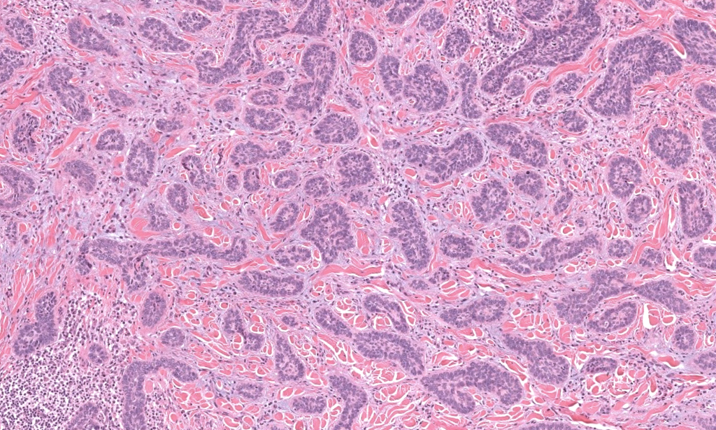
- Neoplasia maligna de queratinocitos basaloides, derivada de la capa basal epidérmica/unidades folículo-sebáceas, de bajo potencial metastásico pero alta capacidad de invasión local. Marzuka 2015, Fania 2020
- Representa aprox. 70–80% de los cánceres cutáneos no melanoma y es el cáncer más frecuente en humanos. Verkouteren 2017, Chinem 2011
- Sinónimos: carcinoma basocelular, basal cell carcinoma, epitelioma basocelular
- Historia
- Probablemente descrito como “ulcus rodens” por Jacob (1827); el término carcinoma basocelular se consolida a inicios del siglo XX (Krompecher) en base a su morfología basaloide. Marzuka 2015, Seidl-Philipp 2021
- Epidemiología
- Cáncer cutáneo más frecuente en población de piel clara; incidencia en aumento globalmente, con marcado impacto en costos sanitarios. Verkouteren 2017, Naik 2022, Seidl-Philipp 2021
- Pico en >60 años, pero se observa incremento en <50 años por exposición solar recreativa. Chinem 2011, Fania 2020
- Más frecuente en varones y en fototipos I–II (Fitzpatrick), aunque la brecha por sexo se reduce en cohortes recientes. Verkouteren 2017
- Localización típica: cabeza y cuello (~80%), seguido de tronco (especialmente en formas superficiales). Marzuka 2015, Naik 2022
- Códigos ICD-10 / ICD-11
- ICD-10: se codifica como carcinoma de piel no melanoma por localización:
- C44.0–C44.9 (por sitio anatómico).
- Ejemplo frecuente: C44.91 – carcinoma basocelular de piel, no especificado (algunos sistemas usan C44.91/C44.910).
- ICD-11: grupo 2C30 – carcinoma de células basales de la piel; código base: 2C30.0 carcinoma basocelular de piel, con extensiones por localización.
- ICD-10: se codifica como carcinoma de piel no melanoma por localización:
- Checklist diagnóstico rápido (rápido)
- Clínica imprescindible
- Localización (H-zona vs no), tamaño, tiempo de evolución.
- Morfología: nodular, superficial, morféica/infiltrativa, pigmentada, ulcerada.
- Antecedentes: radiación previa, inmunodepresión, historia de múltiples CBC / genodermatosis.
- Exámenes complementarios mínimos
- Dermatoscopia
- Imagen (ecografía/RM/TC) solo si se sospecha invasión profunda o CBC localmente avanzado
- Biopsia
- Tipo:
- Lesión pequeña y de bajo riesgo → escisión diagnóstica con margen.
- Lesión facial, sospecha subtipo agresivo o tumor grande → punch incisional profundo en borde activo.
- Fijación: formalina al 10% (excepto muestra de Mohs).
- Tipo:
- Clínica imprescindible



