- Definición y sinónimos
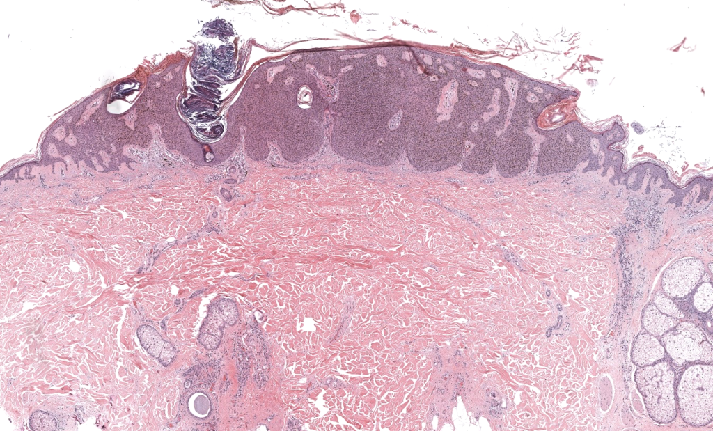
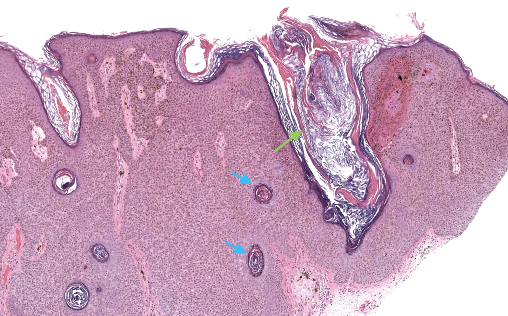
- Tumor epidérmico benigno de queratinocitos, extremadamente frecuente en adultos, de crecimiento lento, constituido por pápulas o placas verrucosas, bien delimitadas, con aspecto “pegado” a la piel. Jackson 2015, Hafner 2008, Wollina 2018
- Sinónimos frecuentes:
- Verruga seborreica, verruga senil
- Papiloma de células basales / basal cell papilloma
- Queratosis senil
- “Barnacles of aging”, “wisdom warts” (terminología coloquial anglosajona). Gill 2000
- Historia
- Lesiones compatibles con verrugas seborreicas (“senile warts”) descritas ya en 1869 por Neumann; el término “verrugas seborreicas” aparece en la literatura dermatológica en 1896 (Barthelèmy). Baer 1979, Salah 2018
- Epidemiología
- Es probablemente el tumor cutáneo benigno más frecuente en humanos. Jackson 2015, Wollina 2018, Barthelmann 2023
- Prevalencia aumenta marcadamente con la edad:
- En series poblacionales, >90 % de mayores de 60 años presentan al menos una QS. Hafner 2008, Wollina 2018
- También son frecuentes en adultos jóvenes: ~24 % de personas de 15–30 años presentaron al menos una QS en un estudio de cohorte. Gill 2000
- Afecta a ambos sexos de forma similar, con leve predominio masculino en algunas series. Jackson 2015, Hafner 2008
- Distribución anatómica: predominio en tronco, dorso, pecho, cuello y cara; menos frecuente en extremidades distales; excepcional en mucosas, palmas y plantas. Jackson 2015, Wollina 2018
- Variantes según fototipo:
- Fototipos altos: dermatosis papulosa nigra (múltiples pápulas pequeñas, faciales, tipo QS). Hafner 2008
- Códigos ICD
- ICD-10-CM
- L82: Queratosis seborreica.
- L82.0: Queratosis seborreica inflamada.
- L82.1: Otras queratosis seborreicas
- ICD-11 (MMS)
- 2F21.0: Seborrheic keratosis (incluye basal cell papilloma / seborrheic wart).
- ICD-10-CM
- Checklist diagnóstico (rápido)
- Clínica imprescindible
- Edad, fotoexposición, antecedentes personales/familiares de cáncer cutáneo.
- Distribución y número de lesiones: múltiples vs solitaria, cambios recientes.
- Exploración completa de piel (descartar otras lesiones sospechosas).
- Exploración lesional
- Inspección: color, bordes, simetría, relieve, superficie.
- Dermatoscopia: buscar quistes tipo milium, orificios comedónicos, fisuras/crestas, ausencia de red melanocítica.
- Laboratorio/gabinete mínimo
- No se requieren analíticas específicas para QS típica.
- Si Leser–Trélat sospechoso → estudio básico de neoplasia según contexto.
- Biopsia
- Indicación: cualquier “red flag” (ver 11a).
- Técnica:
- Lesión pequeña o mediana: rasurado tangencial completo.
- Lesión grande o muy sospechosa: escisión elíptica con márgenes estrechos.
- Enviar en formalina al 10 %, con sospecha diagnóstica clara en la solicitud.
- Clínica imprescindible

