- Nombres: Psoriasis (psoriasis vulgar, en placas); variantes: inversa/intertriginosa, palmoplantar (hiperqueratósica y pustulosa), pustulosa generalizada, eritrodérmica, guttata, del cuero cabelludo, genital, ungueal. Kim 2017, Raharja 2021
- Historia: Entidad clínica reconocida por Robert Willan a inicios del s. XIX; denominada “psoriasis” por von Hebra en 1841. Psoriasis (PMC) 2014
- Epidemiología: Prevalencia global aproximada 2–3%, con variación geográfica (hasta 8–11% en países nórdicos). Carga 2019: ~40.8 millones de casos prevalentes; incidencia similar por sexo. Parisi 2020, Damiani 2021, Damiani 2021 (PubMed)
- Códigos:
- Checklist diagnóstico (ultraconciso):
-
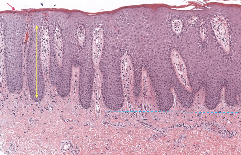
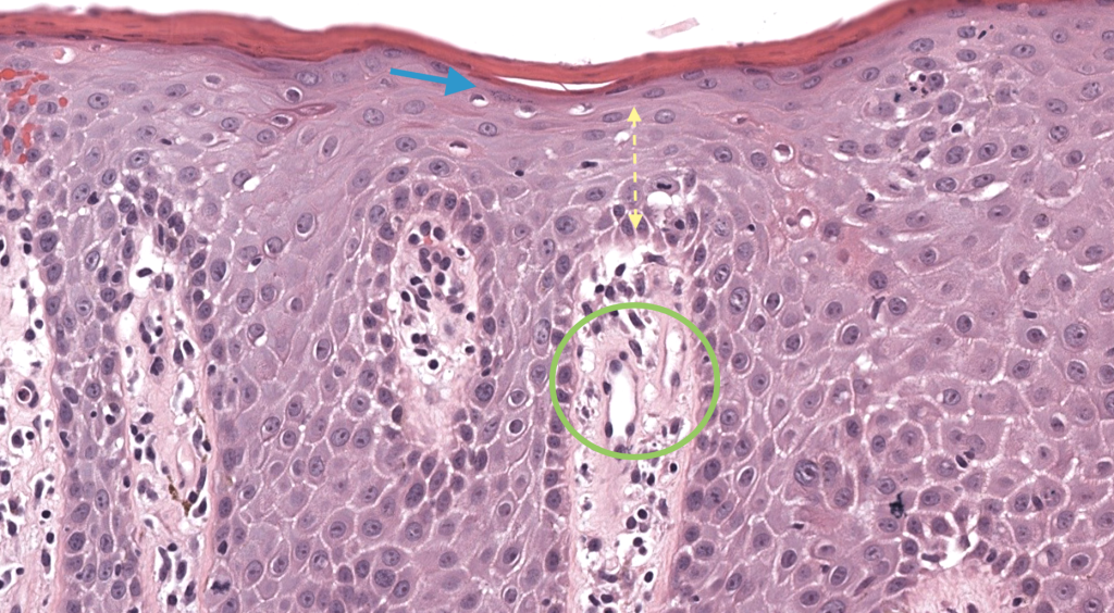
Morfología (placas/pápulas/pústulas), distribución (extensores, cuero cabelludo, pliegues, palmas/plantas, genital). Raharja 2021
-
Revisar uñas y PEST/síntomas articulares (dolor, rigidez matutina, dactilitis). Garshick 2021
-
Confirmar desencadenantes (estreptococo, fármacos, estrés, tabaco). Chhabra 2022, Brunasso 2021
-
Biopsia punch solo si atípico/duda. Balan 2021
-
-
Si plan sistémico/biológico: BH, PFH, PF renal, lípidos, HBV/HCV/VIH, TB, embarazo. Elmets 2021


