- Definición y sinónimos
- Tumor anexial benigno originado en el conducto terminal de la glándula sudorípara (acrosiringio), compuesto por células poroides con diferenciación ductal; pertenece al grupo de neoplasias poroides (poroma ecrino clásico + hidroacantoma simple, poroma dérmico / dermal duct tumor, poroid hidradenoma). Sawaya 2014, Syed 2024, Chen 2006
- Sinónimos frecuentes:
- Poroma ecrino
- Poroma (a secas) / tumor poroide
- “Acrospiroma” (término histórico, ahora usado menos) Sawaya 2014
- Hoy se sabe que muchos poromas muestran también diferenciación apocrina; por eso algunos autores hablan simplemente de “poroma” más que “ecrino”. Sawaya 2014, Langbein 2008
- Historia
- Descrito por primera vez en 1956 por Goldman, Pinkus y Rogin como “eccrine poroma; tumors exhibiting features of the epidermal sweat duct unit”. Goldman 1956
- Epidemiología (resumida)
- Tumores de glándulas sudoríparas ≈1 % de las neoplasias cutáneas primarias; los poromas representan ≈10 % de estos tumores de glándula sudorípara. Syed 2024, Efared 2024
- Afecta sobre todo adultos y ancianos (4ª–8ª década), pero descrito en prácticamente cualquier edad. Sawaya 2014, Kyrmanidou 2023
- Sin claro predominio por sexo. Syed 2024
- Localización clásica: palmas y plantas (zonas acrales ricas en glándulas ecrinas), pero puede aparecer en cualquier área cutánea (cara, cuero cabelludo, tronco, extremidades, región periungueal, párpado, aurícula, ingle, etc.). Sawaya 2014, Shah 2018, Wang 2021
- Habitualmente solitario, aunque existen formas con múltiples lesiones (“poromatosis”), a menudo asociadas a radioterapia previa o inmunosupresión. Syed 2024, Kyrmanidou 2023
- Códigos: No tiene código propio; se codifica como neoplasia benigna de piel de glándulas sudoríparas según localización:
- ICD-10-CM: D23.x (Otros tumores benignos de piel de [sitio]) – incluye tumores benignos de glándulas sudoríparas.
- ICD-11: dentro de Benign neoplasms of epidermal appendages (2F22); morfología: Poroma, NOS (XH8N28).
- Checklist diagnóstico (rápido)
- Clínica
- Lesión solitaria, nodular/placa, lenta, habitualmente <2 cm
- Localización frecuente acral, pero considerar cualquier sitio cutáneo
- Sintomática solo por roce/trauma (dolor leve, sangrado)
- Ausencia de cambios explosivos recientes (si los hay → sospechar malignización
- Dermatoscopia
- Patrón vascular polimorfo (glomerular, hairpin, lineales)
- Áreas blanco-rosadas o rosado-anaranjadas sin estructura
- En variantes pigmentadas: redes/nidos azul-verdosos, estructuras ovoideas, milia-like cysts atípicos
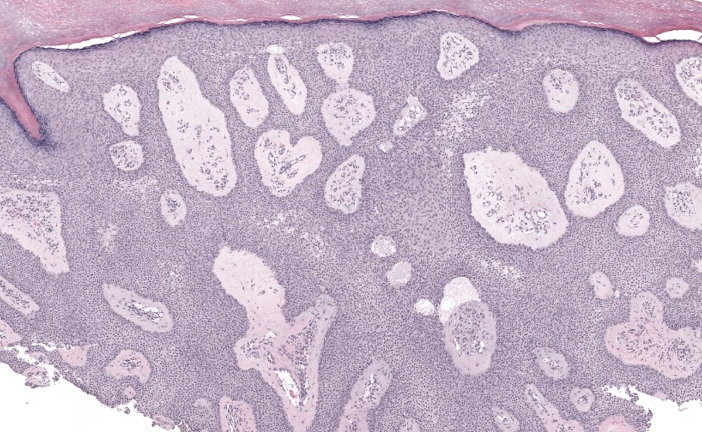
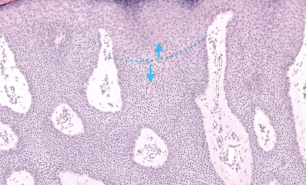
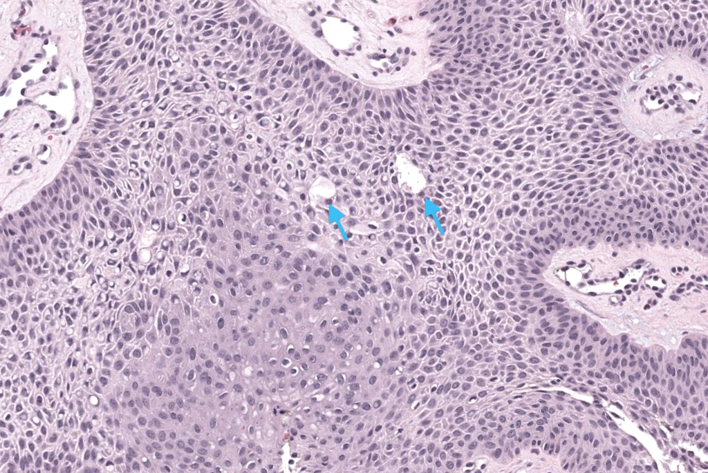
- Histología (biopsia)
- Lesión bien delimitada, conectada a epidermis (poroma yuxtaepidérmico)
- Células poroides cuboidales con poca atipia
- Ductos intratumorales con cutícula PAS+
- Estroma fibrovascular, sin infiltración franca ni necrosis extensa
- Ki-67 bajo, sin atipia marcada ni invasión linfovascular (si se realiza inmuno)
- Si cualquiera de estos puntos “falla” en sentido de malignidad (atipia nuclear marcada, patrón infiltrativo, Ki-67 alto, necrosis, invasión vascular) → pensar en porocarcinoma y manejar como tumor anexial maligno.
- Clínica


