- Nombres
- Enfermedad de Grover
- Dermatosis acantolítica transitoria (DAT)
- Dermatosis acantolítica persistente (para formas crónicas)
- En algunos textos: “erupción acantolítica del tronco”, “dermatosis acantolítica de Grover” Grover 1970, Parsons 1996.
- Historia
- Descrita por primera vez por R.W. Grover en 1970 como una erupción papulovesiculosa pruriginosa con acantólisis focal y curso autolimitado Grover 1970.
- Posteriormente se amplía el concepto para incluir formas persistentes, generalizadas y variantes clínicas e histológicas Parsons 1996, Bellinato 2020.
- Epidemiología
- Edad: típicamente adultos de mediana edad y ancianos (media ~48–60 años; rango 11–92) Davis 1999, Bellinato 2020.
- Sexo: claro predominio masculino; relación varón:mujer ~4:1 Davis 1999, Bellinato 2020.
- Fototipo: más frecuente en personas de piel clara con fotodaño crónico, aunque descrita en todos los fototipos Parsons 1996, Streit 2000 resumido en Bellinato 2020.
- Factores de contexto frecuentes: hospitalización, encamamiento prolongado, hipertermia, sudoración excesiva, clima cálido, xerosis marcada Davis 1999, Parsons 1996.
- Asociación con cáncer: en la serie de Mayo Clinic, un 25 % tenía neoplasia no dermatológica concomitante, sin demostrarse un verdadero síndrome paraneoplásico Davis 1999; series recientes en pacientes oncológicos (quimio, inmunoterapia, terapias dirigidas) refuerzan la DAT como toxicidad cutánea relativamente rara pero reconocida Paolino 2025, Simpson 2024, Kaunitz 2017.
- Códigos
- ICD-10: L11.1 – Dermatosis acantolítica transitoria (enfermedad de Grover).
- ICD-11: ED5Y – Transient acantholytic dermatosis.
- Checklist diagnóstico (rápido)
- Clínica imprescindible
- Edad y sexo (varón >50 años típico).
- Pápulas/papulovesículas eritemato-costrosas muy pruriginosas.
- Predominio en tronco ± proximales de extremidades.
- Historia reciente de calor, sudoración, encamamiento, hospitalización o nueva quimio/target/ICI.
- Ausencia de síntomas sistémicos relevantes.
- Exploración/Pruebas
- Biopsia punch 4–5 mm de pápula/papulovesícula reciente en tronco.
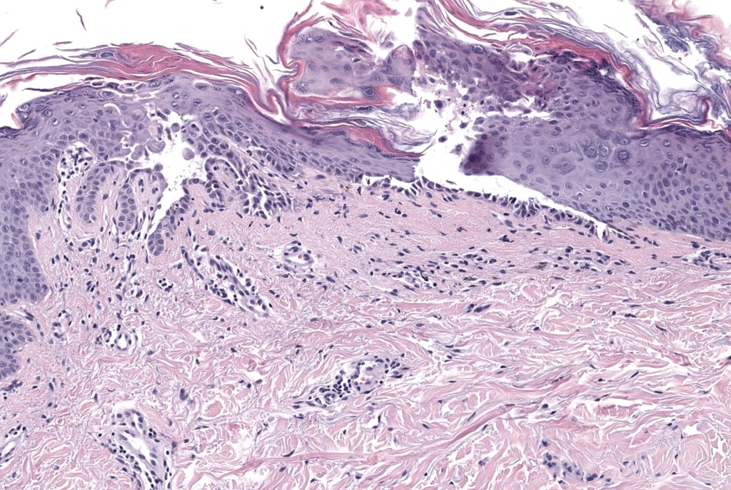
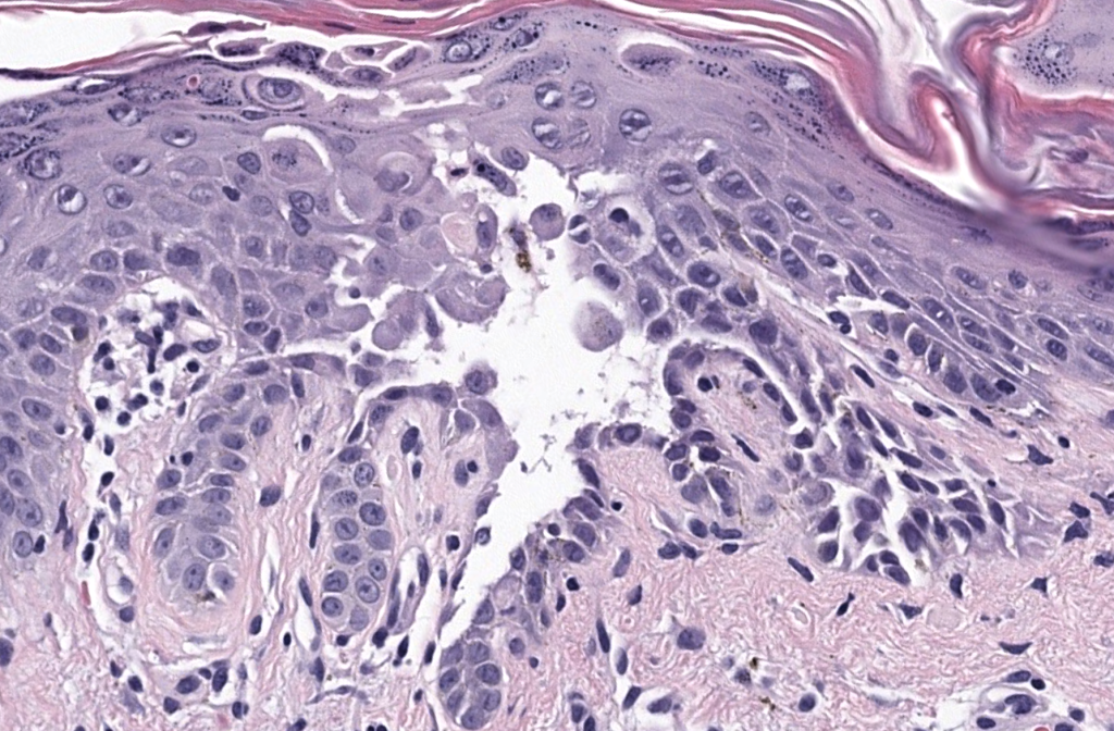
- Histología: acantólisis focal en epidermis superior con o sin disqueratosis; posible mezcla de patrones tipo Darier/Hailey-Hailey/pénfigo Davis 1999.
- IFD en piel lesional si hay duda con pénfigo/penfigoide (esperable negativa en DAT).
- PCR viral si la clínica es sugestiva de herpes/varicela.
- Para tratamiento sistémico
- Analítica basal: hemograma, perfil hepático, perfil lipídico, creatinina.
- Test de embarazo en mujeres en edad fértil antes de retinoides.
- Clínica imprescindible

