- Definición y sinónimos
- Dermatosis pustular subcórnea (DPS) = enfermedad de Sneddon-Wilkinson.
- Dermatosis neutrofílica crónica y recidivante, con pústulas estériles, flácidas, subcórneas, que afectan sobre todo tronco y áreas flexurales, en pacientes generalmente en buen estado general.
- Se considera una dermatosis neutrofílica estéril, distinta pero solapada con psoriasis pustulosa e IgA-pénfigo tipo DPS. Cheng 2008, Watts 2016, Bhargava 2020.
- Sinónimos:
- Enfermedad de Sneddon-Wilkinson
- Dermatosis pustular subcorneal
- Pustulosis subcórnea neutrofílica
- Historia: Descrita por primera vez como entidad clínica por Sneddon y Wilkinson en 1956, a partir de una serie de pacientes con pústulas subcórneas estériles. Cheng 2008, Watts 2016.
- Epidemiología
- Enfermedad muy rara; la prevalencia estimada es <1/1.000.000 según bases de datos de enfermedades raras y revisiones; la mayoría de publicaciones son casos y series pequeñas. Watts 2016, Bhargava 2020.
- Predomina en mujeres (relación mujer:hombre ≈ 3–4:1). Cheng 2008, Watts 2016.
- Pico de inicio en mediana edad (4ª–6ª década), aunque existen casos en ancianos y casos pediátricos excepcionales. Bhargava 2020, Alhafi 2021.
- Puede asociarse a:
- Gammopatía monoclonal IgA / mieloma múltiple IgA. Kasha 1988, Wallach 1982, von dem Borne 2017, Cheng 2008, Watts 2016.
- Otras enfermedades autoinmunes / inflamatorias (artritis reumatoide, enfermedad inflamatoria intestinal, pioderma gangrenoso) descritas en series y casos. Cheng 2008, Watts 2016, Bhargava 2020.
- Códigos ICD
- ICD-10: L13.1 – “Subcorneal pustular dermatitis (incluye enfermedad de Sneddon-Wilkinson)” (clasificación OMS).
- ICD-11: la enfermedad figura como entidad específica dentro del grupo de dermatosis neutrofílicas / dermatosis pustulosas estériles, con un código propio de “Sneddon-Wilkinson disease” en la base de datos de enfermedades raras de la OMS/Orphanet (EB2Y).
- Checklist diagnóstico (rápido)
- Clínica imprescindible
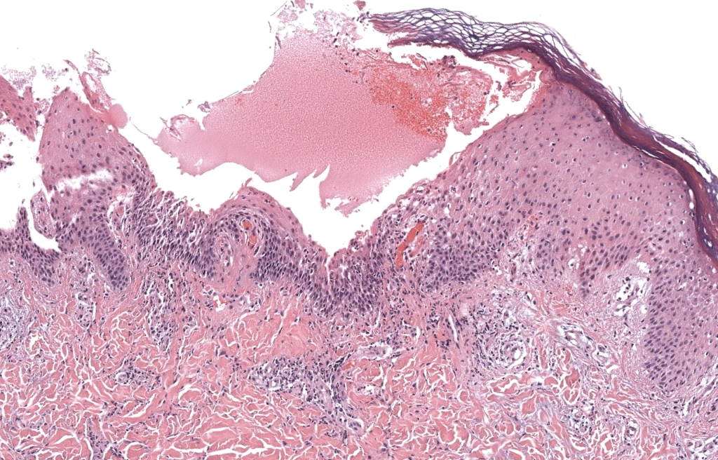
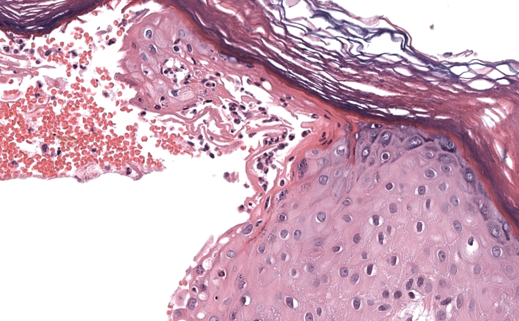
- Pústulas flácidas superficiales (hipopión) en tronco y pliegues.
- Patrón en anillos/figuras policíclicas, curso crónico-recidivante.
- Paciente en buen estado general, sin fiebre marcada ni toxicidad sistémica.
- Histología necesaria
- Biopsia de pústula reciente con gran pústula subcórnea neutrofílica.
- Ausencia de hiperplasia psoriasiforme típica y de vasculitis franca.
- Tinciones especiales negativas para hongos y bacterias significativas.
- Inmunología / diferenciales
- IFD realizada si hay duda con pénfigo IgA / otras ampollosas:
- IgA intercelular → sugiere pénfigo IgA tipo DPS.
- Negativa o inespecífica → favorece DPS clásica.
- IFD realizada si hay duda con pénfigo IgA / otras ampollosas:
- Laboratorio mínimo
- Hemograma, función hepática y renal.
- Electroforesis de proteínas séricas + inmunofijación en todo adulto (descartar IgA monoclonal).
- Antes de dapsona: G6PD, hemograma + reticulocitos, pruebas hepáticas y renales.
- Biopsia / logística
- Punch 4–5 mm de pústula nueva para H&E.
- Punch adicional perilesional para IFD (si sospecha de ampollosa autoinmune).
- Clínica imprescindible


