- Definición y nombres
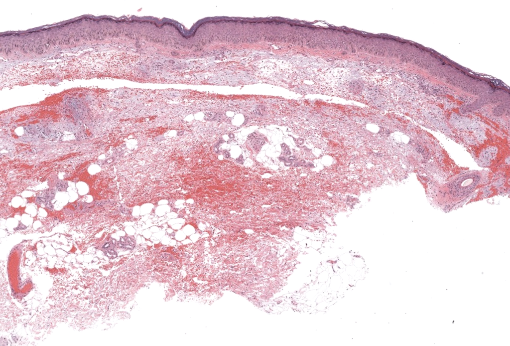
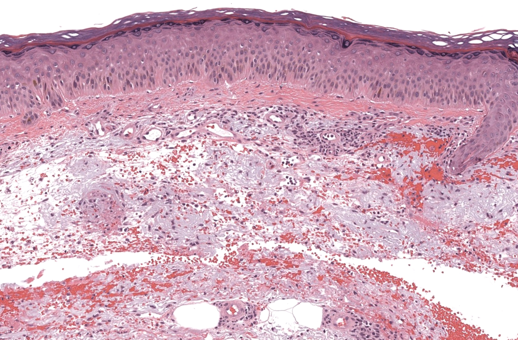
- Hemangioma elastótico adquirido (HEA) / Acquired elastotic hemangioma (AEH): proliferación vascular benigna de la dermis superficial, caracterizada por una banda horizontal de capilares íntimamente entremezclados con marcada elastosis solar, en piel fotoexpuesta de adultos. Requena 2002, Martorell-Calatayud 2010, Cohen 2017, Jeunon 2020.
- Considerado una variante clinicopatológica distinta de hemangioma cutáneo.
- Historia
- Descrito por primera vez como entidad específica en 2002 por Requena, Kutzner y Mentzel, en una serie de 6 pacientes, con el nombre de “acquired elastotic hemangioma”. Requena 2002.
- Posteriormente ampliado por series y revisiones: 14 casos (Martorell 2010), 10 casos con inmunohistoquímica (Tong 2010), 11 casos + revisión de 34 previos (Cohen 2017), revisión sistemática de 49 casos (Jeunon 2020). Martorell-Calatayud 2010, Tong 2010, Cohen 2017, Jeunon 2020.
- Epidemiología
- Edad: típicamente >50 años, media en torno a 59–65 años. Cohen 2017, Luce 2018, Jeunon 2020.
- Sexo: ligera predilección femenina en las primeras series, pero las revisiones más amplias muestran distribución casi 1:1 mujer:hombre (24 mujeres, 21 hombres en 45 casos). Cohen 2017, Jeunon 2020.
- Localización: casi siempre en piel crónicamente fotoexpuesta (extensores de antebrazos, dorso de manos, cuello lateral; también piernas, espalda y tronco superior). Requena 2002, Martorell-Calatayud 2010, Cohen 2017, Luce 2018, Kharel 2020.
- Raza: casos principalmente en población caucásica, pero descritos también en otros grupos étnicos; probablemente infradiagnosticado. Jeunon 2020.
- Curso: benigno, sin recurrencias ni transformación maligna documentadas tras escisión o incluso observación en las series publicadas. Requena 2002, Martorell-Calatayud 2010, Cohen 2017, Luce 2018, Kharel 2020.
- Códigos ICD
- No existe código específico para HEA; se codifica como hemangioma cutáneo:
- ICD-10
- D18.0 – Hemangioma, cualquier sitio. ICD-10 2019.
- D18.01 – Hemangioma de piel y tejido subcutáneo. Gesundheit D18.01.
- ICD-11
- 2E81.0 – Neoplastic haemangioma (hemangioma neoplásico benigno; se puede poscoordinar con sitio “piel”). ICD-11 2E81.0, ICD-11 catálogo 2022.
- ICD-10
- No existe código específico para HEA; se codifica como hemangioma cutáneo:
- Checklist diagnóstico (rápido)
- Clínica imprescindible
- Adulto ≥50 años, piel muy fotoexpuesta.
- Placa/mácula eritematosa o violácea, de bordes bien definidos, crecimiento lento, asintomática.
- Localización en antebrazo, dorso de mano, cuello u otra zona fotoexpuesta.
- Dermatoscopia: fondo violáceo homogéneo, estructuras blancas brillantes ± vasos puntiformes/glomerulares, sin vasos arborizantes típicos de CBC.
- Histopatología necesaria
- Proliferación de capilares de pared fina en banda horizontal en dermis superficial/reticular superior.
- Elastosis solar intensa rodeando e interpuesta entre vasos.
- Endotelio tumefacto sin atipia significativa ni mitosis frecuentes.
- Inmunohistoquímica básica
- CD31/CD34 positivos en endotelio.
- HHV-8 negativo (para excluir Kaposi) si hay duda clínica/histo.
- D2-40 puede ser positivo o negativo; no usarlo solo para reclasificar.
- Exclusiones clave
- Sin atipia marcada, sin patrón infiltrativo profundo ni necrosis (si presente, considerar angiosarcoma u otra neoplasia maligna).
- Si clínica/histología no encaja con HEA típico, revisar diferenciales y considerar biopsia más extensa.
- Clínica imprescindible

