- Sinónimos. Eritema fijo medicamentoso; fixed drug eruption (FDE). Anderson 2021.
- Primera descripción. Descrito a fines del siglo XIX (Brocq) y consolidado como entidad clínica en el siglo XX. Anderson 2021.
- Epidemiología. Ocurre a cualquier edad; las variantes bullosas generalizadas (GBFDE) afectan con mayor frecuencia a adultos mayores y pueden requerir hospitalización. Lipowicz 2013, Perron 2021.
- Códigos:
- ICD-10: L27.1 (erupción localizada por fármaco) / L27.0 (erupción generalizada por fármaco).
- ICD-11: EH66 (Fixed drug eruption)
- Checklist diagnóstico (rápido):
-
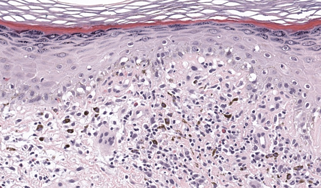
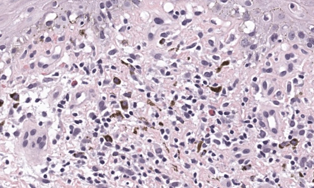
Clínica imprescindible: placa fija eritemato-violácea que recidiva con el mismo fármaco; hiperpigmentación residual (salvo NPFDE).
-
Datos necesarios: cronología de ingesta fármacos (días-semanas inicial; horas en reexposición), número de sitios, mucosas, severidad/dolor.
-
Exámenes clave: biopsia punch de borde activo; DIF si duda con ampollosas autoinmunes; patch test lesional ≥6 semanas tras resolución si no es GBFDE; evitar re-desafío en cuadros graves. Andrade 2011, Perron 2021.
-

