- Definición y sinónimos
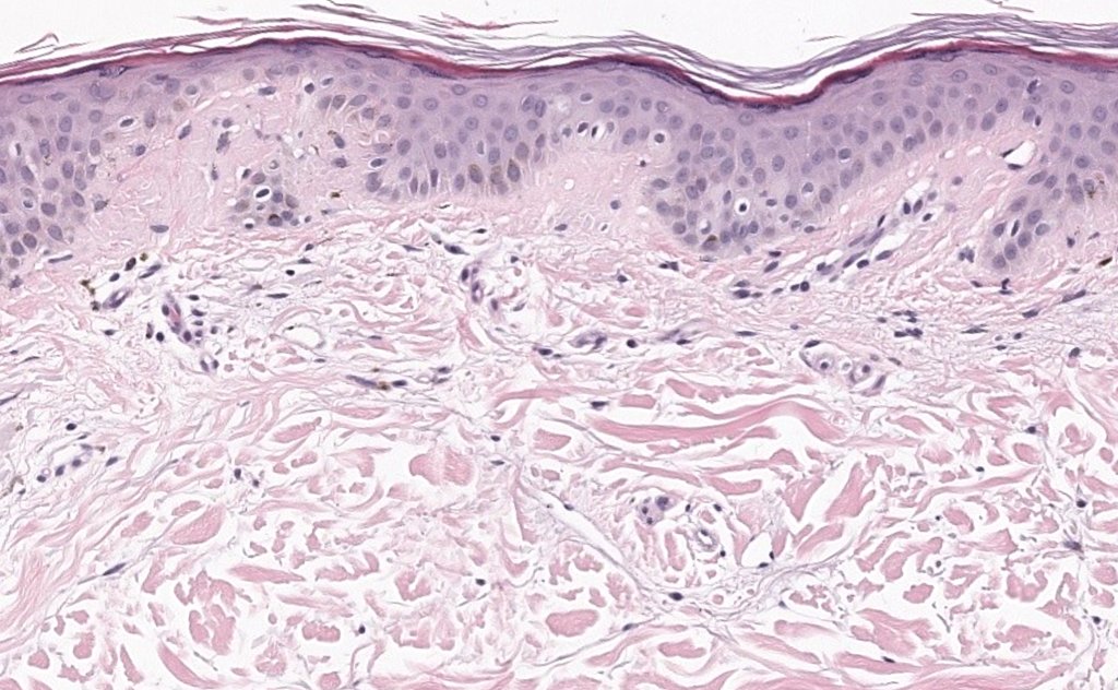
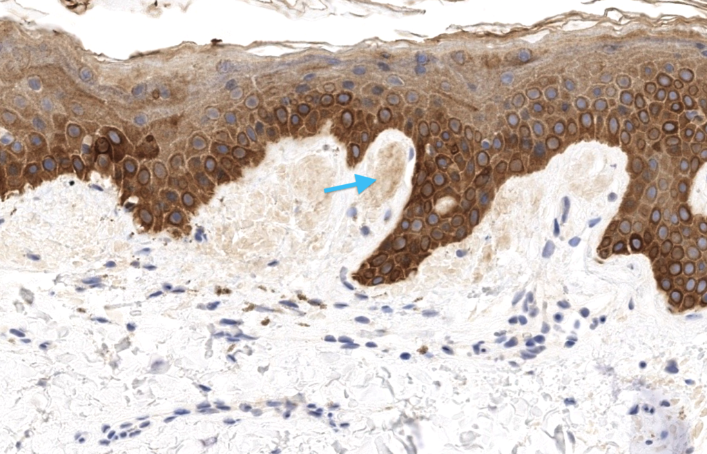
- La amiloidosis cutánea macular (ACM) es una forma de amiloidosis cutánea localizada primaria caracterizada por máculas/placas hiperpigmentadas (a menudo con patrón “rippled/ondulado” o reticulado) asociadas a depósito de amiloide en dermis papilar, usualmente derivado de queratinas epidérmicas. Janodia 2026, Chang 2004
- Puede coexistir con amiloidosis liquenoide (lesiones papulosas), constituyendo un espectro (a veces llamado “bifásica”). Janodia 2026, Brownstein 1970
- Primera descripción
- La sistematización clásica de las formas cutáneas localizadas (incluyendo las variantes macular y liquenoide) se atribuye a la serie de Brownstein y Helwig (1970). Brownstein 1970
- Epidemiología
- Suele diagnosticarse en adultos jóvenes a mediana edad y con frecuencia se reporta en Asia / subcontinente indio, aunque existe en poblaciones occidentales. Eswaramoorthy 1999, Bandhlish 2012, Guillet 2022
- En series clínicas, puede observarse predominio femenino. Bandhlish 2012, Vaghasia 2024
- Códigos ICD (orientativos; pueden variar por país/versión)
- ICD-10 (orientativo): suele codificarse dentro de “amiloidosis cutánea” o “amiloidosis localizada” (p. ej., L99.0 o E85.4 según adaptación local).
- ICD-11 (orientativo): suele agruparse bajo “amiloidosis cutánea localizada primaria / amiloidosis” dentro de dermatología/medicina interna.
- Checklist diagnóstico (rápido)
- Historia dirigida: prurito, fricción (hábitos), atopia, curso crónico. Eswaramoorthy 1999, Chia 2014
- Exploración: patrón ondulado/reticulado, localización típica (espalda alta). Bandhlish 2012
- Dermatoscopía: para apoyar y seleccionar sitio. Chuang 2012
- Biopsia punch 4 mm incluyendo dermis papilar + Congo rojo ( ó IHQ queratinas si duda). Alhawas 2024, Chang 2004
- Laboratorio clínico sólo si hay red flags o sospecha alternativa. Janodia 2026

