- Sinónimos/variantes: adenoma de glándulas sebáceas; variante “tumor sebáceo quístico” (cystic sebaceous tumor, marcador morfológico de síndrome de Muir-Torre/SMT). Flux 2017, Papadimitriou 2023.
- Descripción histórica: tumores sebáceos descritos desde inicios del s. XX; la entidad “adenoma sebáceo” se consolidó como neoplasia benigna distinta de hipersebácea y del sebaceoma en series histopatológicas clásicas y revisiones contemporáneas. Shalin 2010, Flux 2017.
- Epidemiología (clínica ambulatoria): lesión pápulo-nodular amarillenta, solitaria, predominio cabeza y cuello en adultos mayores; puede aparecer en localizaciones atípicas (tronco/extremidades), donde aumenta la sospecha de síndrome de Muir-Torre (SMT). Papadimitriou 2023, Flux 2017.
- Códigos:
- ICD-10-CM: se codifica usualmente como neoplasia benigna de la piel según localización (D23.x; p. ej., cara D23.3, cuero cabelludo/cuello D23.4)
- ICD-11: no existe código específico para “adenoma sebáceo”; clasifíquese dentro de neoplasias benignas de anexos cutáneos según la versión nacional.
- Checklist diagnóstico (rápido)
-
Clínica: pápulo-nódulo amarillento, solitario, cabeza/cuello.
-
Dermoscopía: áreas amarillas + vasos en corona/arborizantes. Moscarella 2013.
-
Biopsia: escisional o punch profundo con epidermis-dermis (±TCS).
-
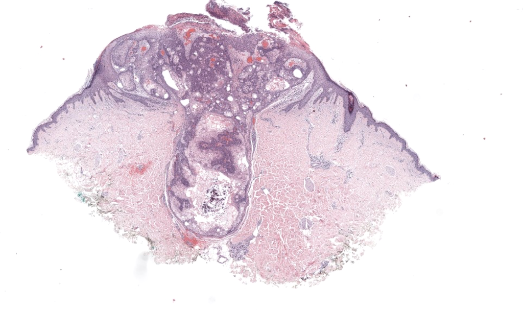
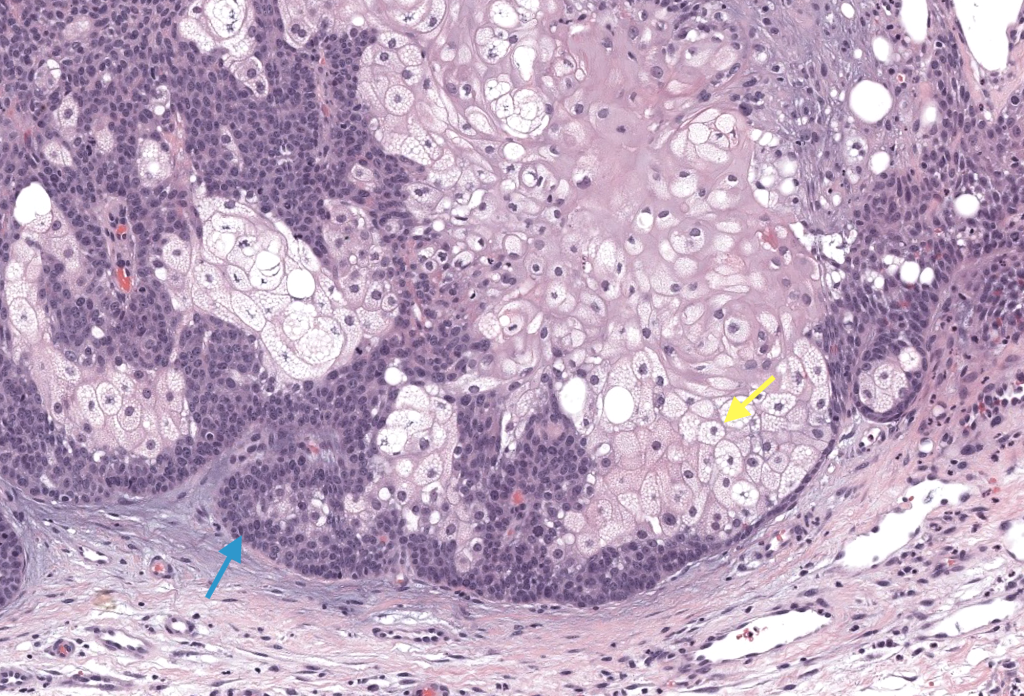
Histología: lóbulos con periferia basaloide y centro de sebocitos maduros; >50% sebocitos. Shalin 2010.
-
IHQ clave: adipofilina (+); AR/EMA de apoyo; MMR si factores de riesgo de SMT. Ostler 2010, Lee 2017.
-
Plan: escisión completa; si MMR alterado/alto riesgo → genética + cribado Lynch. Nguyen 2020, Cohen 2023.
-

